111年:內專
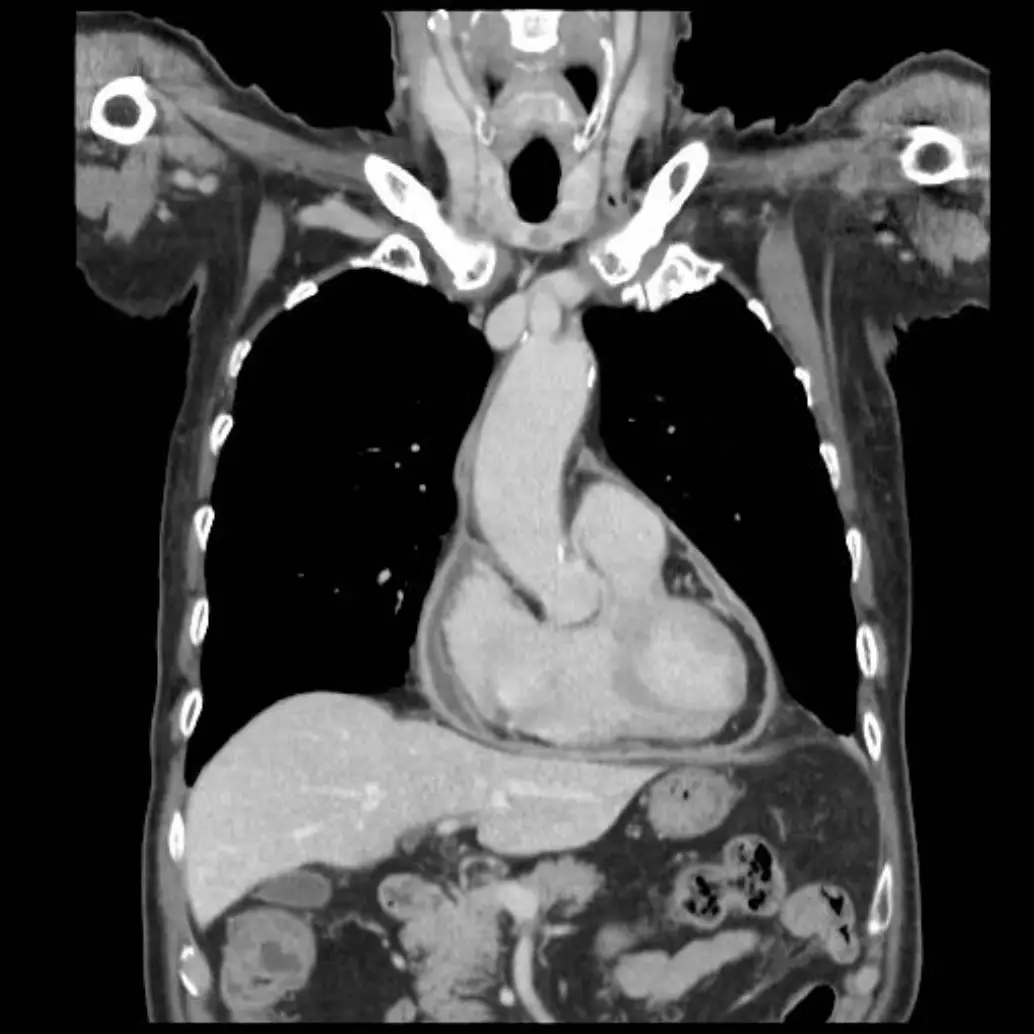
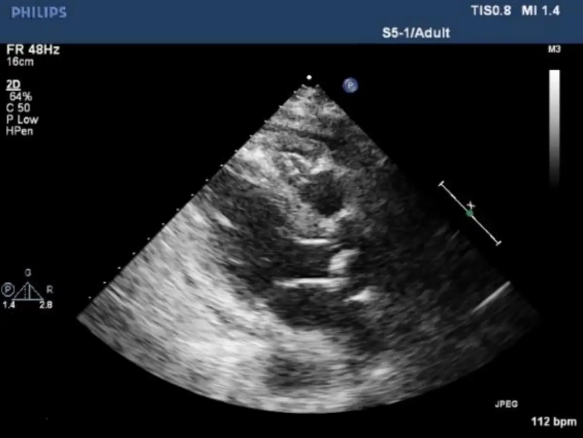
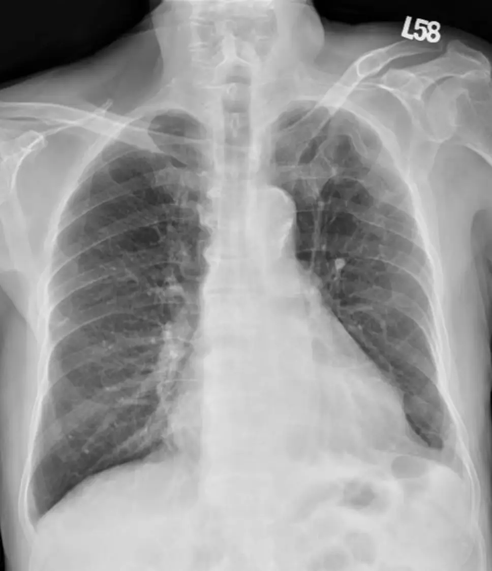
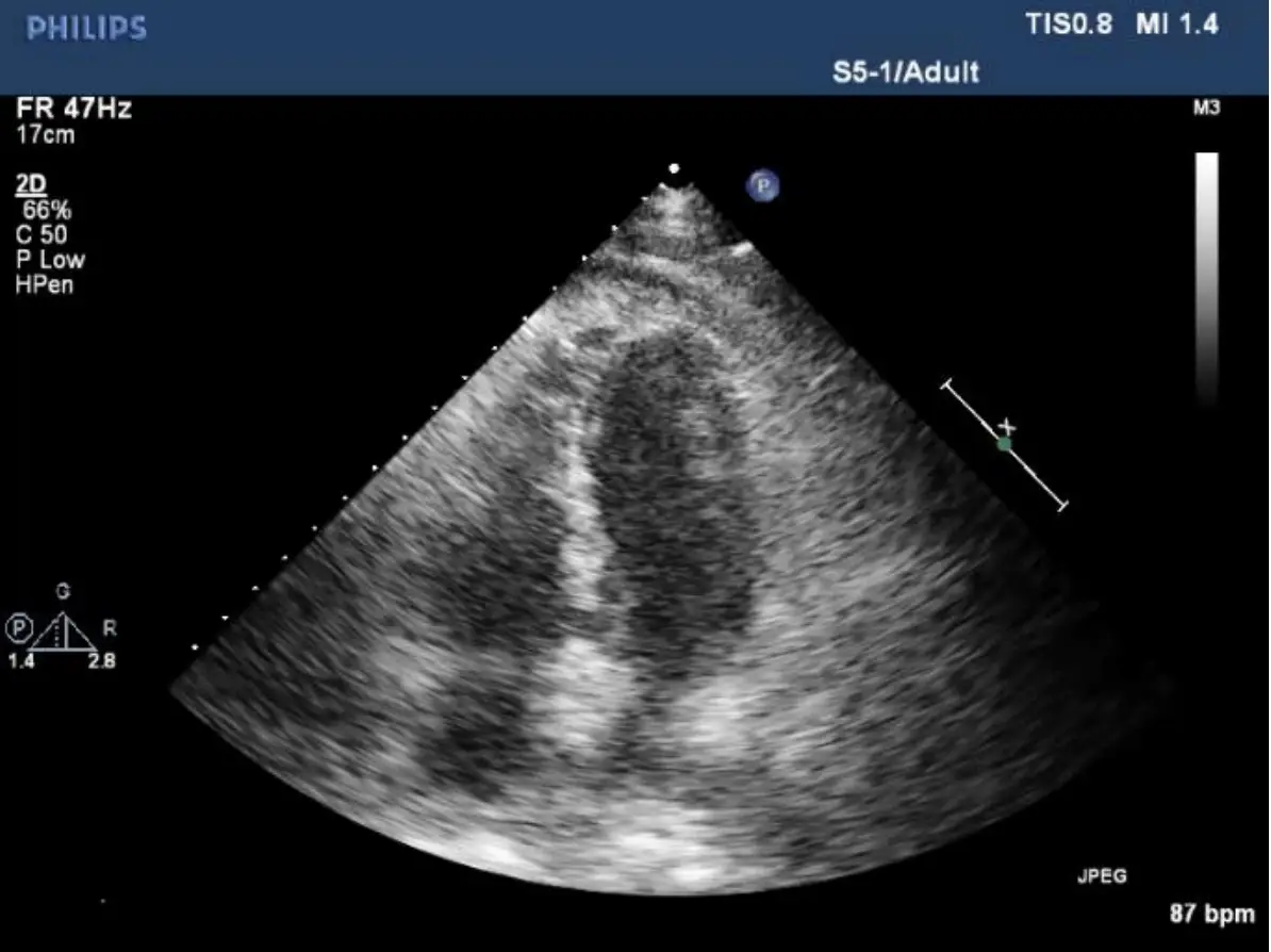
病人王先生現年88歲,有兩個月的雙腳浮腫及運動性呼吸困難,數度前往多家醫院求診,診療罔效。病人 有多年高血壓、高脂血、慢性腎臟病及前列腺肥大等過往病史。到診時意識清醒, T/P/R: 35.5 °C/99/18; BP: 106/83 mmHg; SpO₂: 92%。(ambient air); BH: 165 cm; BW: 66 kg; BMI: 24.2 kg/m² 理學檢查發現 顏面微腫,頸靜脈中度怒張,脈搏稍弱,並未有顯著Paradoxical pulse, 及Kussmaul sign,呼吸聲清 淨,心臟大小正常,心音略遠,P2稍強,Pericardial friction可疑,無肝、脾腫大,雙腳微腫。其心電 圖、胸部X光及其他影像檢查如圖:請問依照上列數個標的之理學檢查 (Targeted physical examination) 及實驗室所見,這位病人最可能的診斷是
ANon-ST elevation myocardial infarction。
BPericardial disease。
CHypertrophic cardiomyopathy。
DDilated cardiomyopathy。
EFabry disease。
詳細解析
本題觀念:
心包積液及心臟壓塞(cardiac tamponade)的臨床表現、電圖特徵與多模態影像診斷。
影像分析:
- 胸部X光:心影擴大呈「水瓶狀」輪廓,心臟外形圓鈍平滑,肺野無明顯充血或水腫,符合大量心包積液造成的心影變化(en.wikipedia.org)
- 心電圖:所有導程QRS振幅低 (<5 mm in limb leads, <10 mm in precordial leads),並出現 beat-to-beat QRS 振幅交替 (electrical alternans),此由心臟懸浮在液體中擺動所致為典型心包積液/壓塞表現(cardvasc.org, [ecgwaves.com](https://ecgwaves.com/pericardial-effusion-cardiac-tamponade-electrical-alternans-ecg/?utm_source
...(解析預覽)...

升級 VIP 解鎖圖文解析