110年:內專
病人王先生現年88歲,有兩個月的雙腳浮腫及運動性呼吸困難,數度前往多家醫院求診,診療罔效。病人 有多年高血壓、高脂血、慢性腎臟病及攝護腺肥大等過往病史。到診時意識清醒, T/P/R: 35.5 °C/99/18; BP: 121/73 mmHg; SpO₂: 92%。(ambient air); BH: 165 cm; BW: 66 kg; BMI: 24.2 kg/m² 理學檢查完 成後,有心電圖、胸部X光及其他影像檢查如圖:請問下列數個標的之理學檢查(Targeted physical examination) 所見: (1)全身水腫 (2)肺水腫顯著 (3)大脈壓(Pulse pressure) (4)肝脾腫大 (5)Pericardial knock (6)Kussmaul sign。那組是正確診斷的根據?
A(1)+(2)+(3)。
B(1)+(3)+(5)。
C(1)+(4)+(6)。
D(2)+(3)+(4)。
E(2)+(4)+(6)。
詳細解析
本題觀念:
影像顯示的是典型 restrictive cardiomyopathy(最常見為 cardiac amyloidosis)造成之右心系統鬱血。此類病人以「系統靜脈鬱積」為主,肺循環壓力及左心舒張壓相對不高,故很少出現肺水腫;因心室僵硬,吸氣時右心室無法接受增加的靜脈回流,因此會出現 Kussmaul sign。
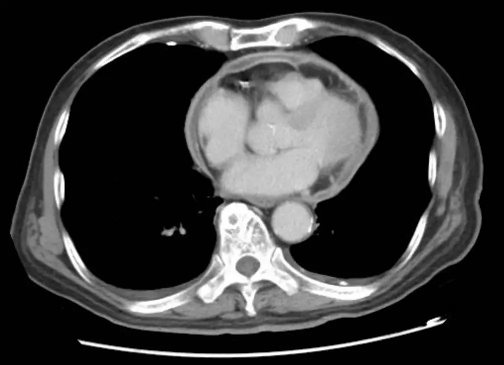
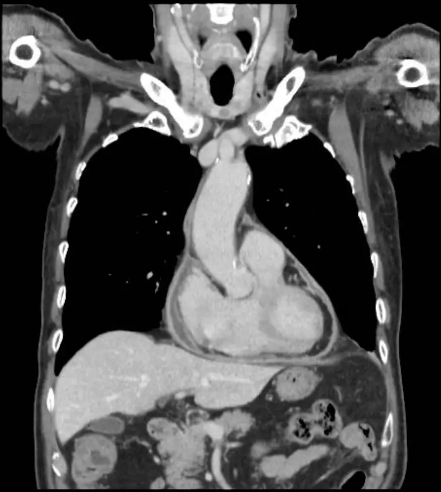
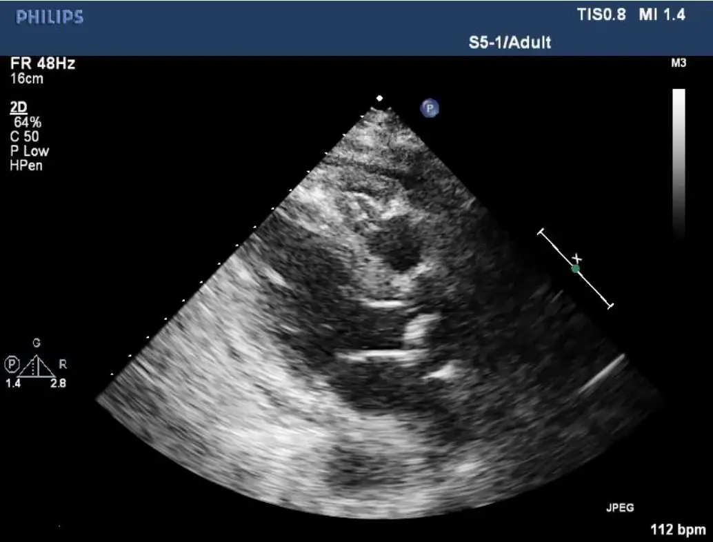
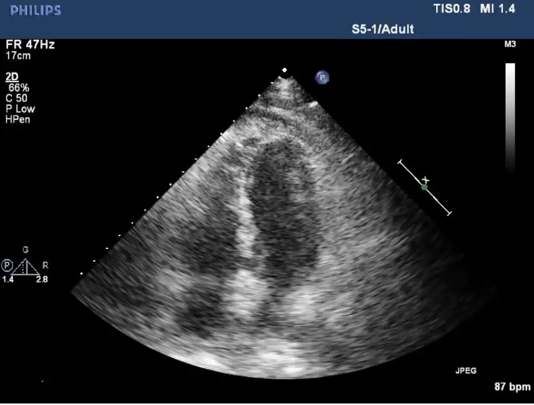
影像分析:
- 胸部 X 光:心影並未特別擴大,肺野透明度良好,未見 Kerley B 線、蝴蝶紋或肺門血管擴張—顯示肺水腫不顯著。未見環狀或條索狀心包鈣化,排除典型 constrictive pericarditis。
- 心臟超音波(Apical 4-chamber):雙側心房明顯擴大,心室腔徑偏小,心室壁厚而呈顆粒狀 “sparkling” 外觀,收縮功能近正常但舒張室腔幾乎不張—符合 infiltrative RCM。
- Parasternal short-axis 超音波:心室壁均勻增厚、心包膜厚度正常。
- 胸部電腦斷層(axial 與 coronal):可見心室壁弧形增厚,心包膜不增厚亦無鈣化;下腔靜脈與肝靜脈擴張,進一步支持系統靜脈鬱積。
整體影像組合指向 restrictive cardiomyopathy 而非 constrictive pericarditis或左心衰竭。
選項分析
...(解析預覽)...

升級 VIP 解鎖圖文解析