109年:內專
72歲男性有多年高血壓、高膽固醇血症、慢性腎病第三期(穩定無惡化),近半年因輕微血尿eGFR 46 mL/min/1.73m2,做腎臟超音波發現左側腎臟(長徑8公分)比右側小2公分,進一步的MR angiography (如 圖) 發現 在左側腎動脈入口處有一狹窄,請問底下敘述,何者為正確? (1) 其高血壓與慢性腎病極可能為動脈硬化引起腎動脈狹窄所造成 (2) 可安排做captopril renogram 看左側腎臟血流是否有減少 (3) 因腎功能已不正常,應建議放支架或氣球擴張術來改善 (4) 若都卜勒超音波顯示左側腎臟之resistive index小於80,應該要需要進一步檢查 (5) ACEi/ARB 與 Statins的藥物治療即可
A(1)+(2)+(5)
B(1)+(3)+(5)
C(2)+(4)+(5)
D(1)+(3)+(4)
E(1)+(4)+(5)
詳細解析
本題觀念:
本題考察腎動脈狹窄(renal artery stenosis, RAS)的診斷與治療原則,涵蓋影像判讀、功能性評估(captopril renogram、都卜勒阻力指數)及治療策略選擇。本案為典型動脈硬化性腎動脈狹窄(atherosclerotic RAS),在老年高血壓患者中佔 RAS 病因逾 90%。
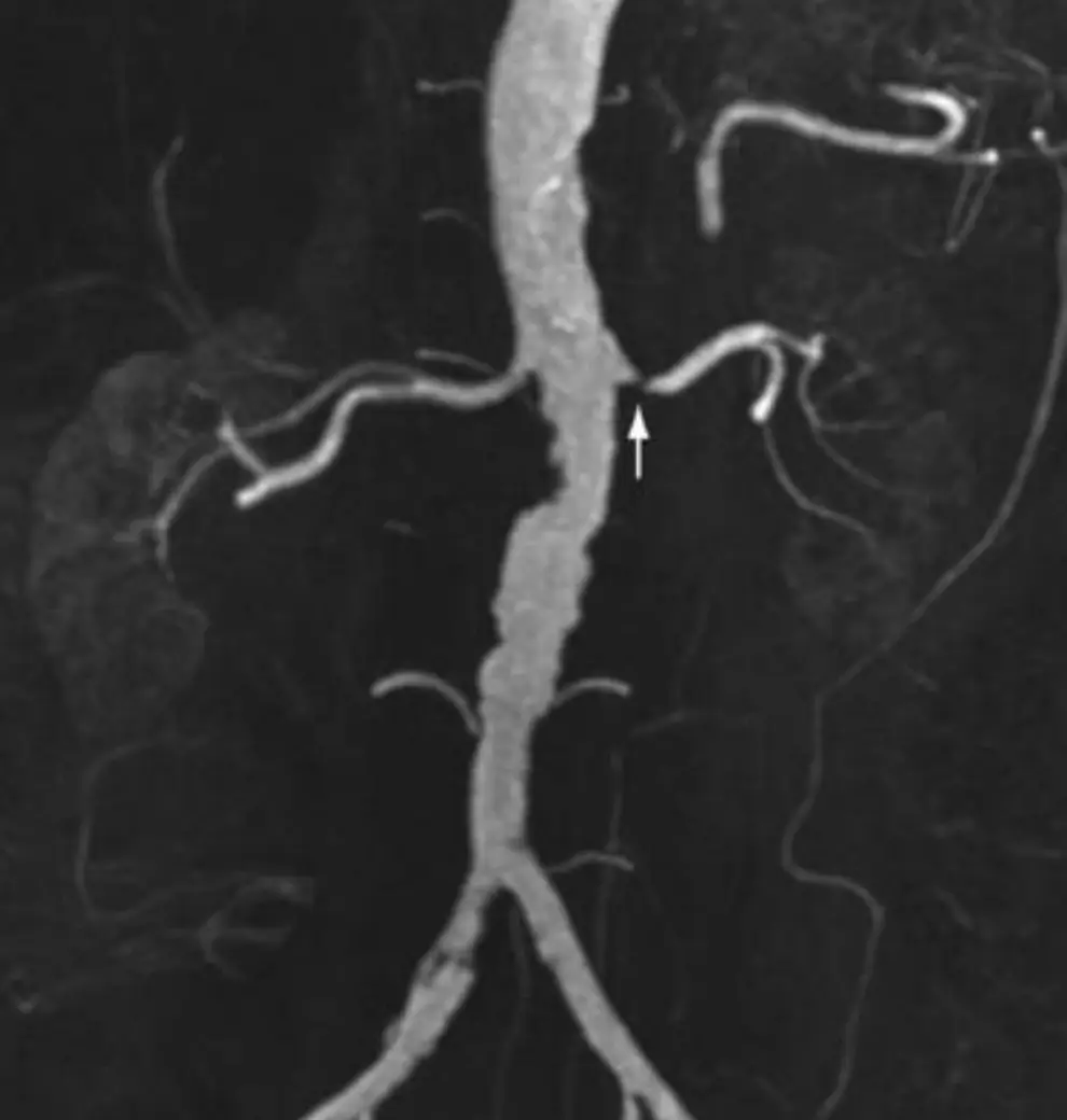
影像分析:
圖片為腹部磁振血管造影(MR angiography,MRA),採最大強度投影(maximum intensity projection, MIP)重建,以冠狀面(coronal)呈現腹主動脈及雙側腎動脈全貌。
所見:
- 腹主動脈管壁不規則,呈現動脈粥狀硬化(atherosclerosis)典型的管腔不均勻表現。
- 白箭頭(↑)指向左側腎動脈開口處(ostium),可見明顯局部管腔狹窄,血管訊號中斷,符合血管動脈硬化斑塊(atherosclerotic plaque)侵犯腎動脈起源處。
- 右側腎動脈相對通暢,但主動脈壁亦可見動脈硬化改變。
- 整體表現與臨床情境(72 歲、高血壓、高血脂、左腎比右腎小 2 cm)高度吻合,為動脈硬化性腎動脈狹窄的典型影像。
臨床意義: MRA 是非侵入性診斷腎動脈狹窄最準確的工具,敏感度達 96.6%(針對 ≥50% 狹窄),優於都卜勒超音波(84%)及 capto
...(解析預覽)...

升級 VIP 解鎖圖文解析