108年:內專
52 歲男性病人從昨晚開始間歇性胸疼痛,初時輕度歷經數分鐘,身體運動可誘發胸悶,今晨6:48 AM轉成重度胸疼,同時伴有頸酸及左肩疼而醒床,隨後自覺呼吸困難及頭暈,乃急往醫院。時理學檢查顯示有急病狀,身高166cm,體重80Kg,BMI 29.07,血壓86/66mmHg,心跳70/min,呼吸20/min,体溫35.7℃,SaO₂ 98%。此外並無重大異常。其生化檢查、心電圖及胸部X光結果(如圖)所示。急診內科醫師針對病人的現況,隨即啟動PCI team code並進行下列諸種處置,請問下列何項符合指引處置?(1)O₂ inhalation 6 L/min;(2)IV Nitroglycerin 3 mcg/min;(3)Aspirin速效劑量300 mg後 100 mg QD;(4)Atorvastatin 40 mg HS;(5)Ticagrelor速效劑量180 mg後,90mg/Tab 1# BID PC;(6)IV bolus Morphine 3mg,視心絞疼痛用藥;(7)Bisoprolol 1.25mg QD PC;(8)Amlodipine 5mg BID
A(1)+(2)+(3)
B(2)+(4)+(6)
C(3)+(4)+(5)
D(1)+(3)+(7)
E(2)+(4)+(8)
詳細解析
本題觀念:
本題核心為急性ST段上升型心肌梗塞(STEMI)首次PCI前後的標準醫療處置,需依據最新ACC/AHA指南正確使用氧氣、硝化劑、抗血小板療法、他汀及其他輔助藥物,並考量病人血流動力學狀況(如低血壓、心源性休克風險)選擇或避免特定藥物。
影像分析:
-
實驗室資料:
- Troponin I 6.09 ng/L、CPK 563 U/L、CKMB 44.3 ng/mL,均顯示急性心肌細胞受損且符合AMI診斷。
- 動脈血氣:pH 7.491、PaCO₂ 32 mmHg、PaO₂ 108.9 mmHg、HCO₃⁻ 23.9 mmol/L,屬代償性呼吸性鹼中毒,PaO₂正常且SaO₂ 98%,無低氧指徵。
-
心電圖:
- V1–V4 顯著ST段抬升,呈現典型前壁(anteroseptal)STEMI特徵,提示LAD主幹或近端閉塞。
-
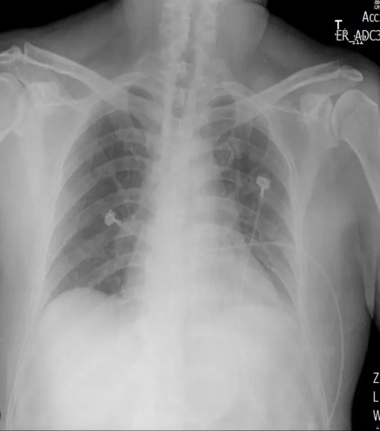
胸部X光:
- 可見肺血管回流增多、Kerley B 線及雙側胸膜下輕度浸潤,提示急性肺水腫(肺充血),合併SBP 86 mmHg,極可能已進入心源性休克早期。
結合以上,病人屬於高危STEMI合併低血壓及初期肺水腫,必須謹慎用藥,避免任何進一步降低血壓或心輸出量的治療。
選項分析:
- 選項A (1)+(2)+(3):
- O₂ 6 L/min:病人無
...(解析預覽)...

升級 VIP 解鎖圖文解析