106年:內專
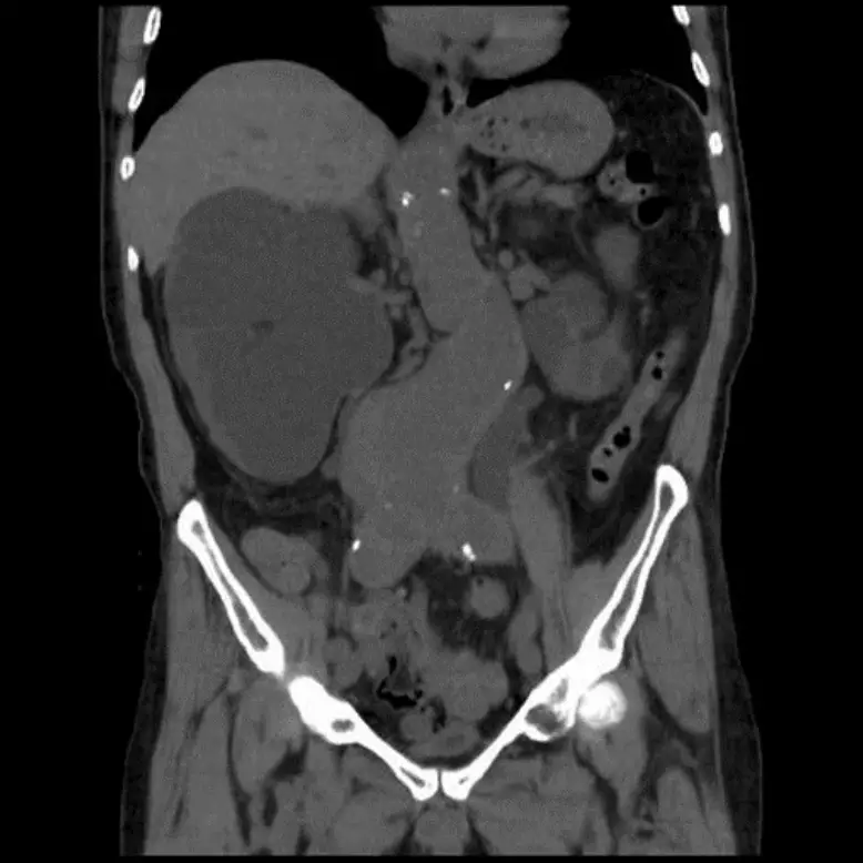
一位64歲男性病人有高血壓病史,現腎功能變差,腎臟超音波顯示有腎水腫(hydronephrosis)現象,腹部及骨盆腔電腦斷層顯示如圖,下列何者是最可能的病因?
A兩側尿路結石
B攝護腺肥大
C多囊腎
D發炎性主動脈瘤
E腎移行上皮細胞癌(Transitional cell carcinoma)
詳細解析
本題觀念:
本題核心在於探討後腹膜病變可造成雙側腎盂積水(hydronephrosis)的機轉,特別是「Inflammatory Abdominal Aortic Aneurysm(IAAA)」透過主動脈周圍纖維化及炎性肉芽組織侵犯、纏繞輸尿管,導致輸尿管壓迫性阻塞。
影像分析:
從腹部骨盆腔電腦斷層(CT)冠狀面影像可見:
- 腹主動脈遠端(infrarenal region)呈顯著擴張,直徑明顯大於正常,符合動脈瘤(AAA)特徵。
- 動脈瘤周邊可見一層均質軟組織密度的「mantle」(軟組織緣),即主動脈壁增厚並伴隨周邊纖維化性炎症反應,常見於IAAA (radiologykey.com)。
- 軟組織緣向外延伸,纏繞並向內擠壓雙側輸尿管(輸尿管走行於動脈旁),造成輸尿管中段迂曲、受壓及近端積水。
這些影像特徵與單純動脈粥樣硬化性AAA不同,後者周邊少有高密度炎性肉芽或纖維組織緣;也非多囊腎表現,因腎臟本身並未見多發高密度囊腫。
選項分析
- 選項A 兩側尿路結石
結石於CT上為高密度斑點,常沿輸尿管管腔內可見結石投影,並伴隨近端積水。但題中影像未見典型石灰化結石,也未見尿路管腔內實質異常高密度病灶,不符合結石性
...(解析預覽)...

升級 VIP 解鎖圖文解析