110年:醫學三(1)
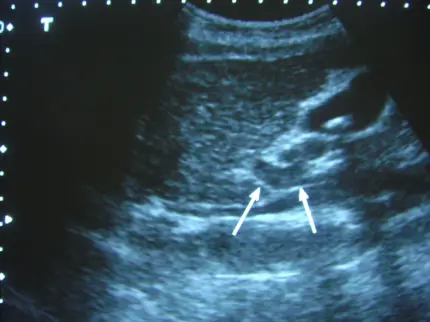
下列兩張圖為肝之超音波掃描,以下相關敘述何者錯誤?
A肝內有實質性腫塊
B有呈現膽結石
C箭號所指為肝門靜脈
D若肝門靜脈內有血栓( portal vein thrombosis ),最常見的診斷是膽管癌
詳細解析
本題觀念:
評估肝臟超音波影像,辨識肝實質是否有濾過性或實質性病灶、識別膽囊結石,以及認識肝門三聯徵(portal triad)結構;同時瞭解肝門靜脈血栓(portal vein thrombosis, PVT)的常見病因學,特別是惡性血栓最常見於何種肝臟原發腫瘤。
影像分析:
第一張圖(肝臟橫斷面超音波)
- 肝臟實質回聲稍增粗,肝邊緣平滑,無明顯邊界清晰、中央低回聲的圓形病灶,也無高回聲、後方明顯聲影的鈣化點。
- 結構呈大致均質的肝實質,未見典型的 hemangioma、高回聲斑點或惡性腫塊特徵。
第二張圖(右上腹肝門區超音波)
- 影像右上方可見一串排列的高回聲小斑塊,伴隨後方聲影(acoustic shadowing),符合膽結石(gallstones)的典型特徵。
- 箭頭所指之圓形無回聲結構為直徑較大的門靜脈(portal vein),鄰近可見直徑較小的動脈管腔(hepatic artery),構成肝門三聯徵所謂的“Mickey Mouse sign”。
選項分析
- 選項A 肝內有實質性腫塊
從第一張肝臟超音波可見均質肝實質,無邊界清楚的病灶,或典型惡性/良性腫瘤回聲特徵,故此題中並未見實質性腫塊;題意若指第二張影像,主要示膽囊與肝門構造,並無示肝實質腫塊,因此A描述不符影像所示。惟若第一張影像中央低回聲圈狀區被
...(解析預覽)...
![醫師[2] - 肝硬化、肝癌及其他肝疾病 - AI 圖文解析預覽](/_next/image?url=https%3A%2F%2Fbgvxfcrmbdvefjhuvrmt.supabase.co%2Fstorage%2Fv1%2Fobject%2Fpublic%2Fvisual-explanations%2F207%2F8982_td45fc778.webp&w=3840&q=75)
升級 VIP 解鎖圖文解析