110年:醫學五(1)
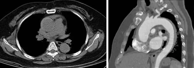
50歲男性至急診就醫,主訴突發性胸痛持續逾半小時,胸部電腦斷層影像如附圖,正確診斷為:
AStanford A型主動脈內皮血腫(Stanford Type A intramural hematoma )
BStanford B型主動脈內皮血腫(Stanford Type B intramural hematoma )
CStanford B型主動脈剝離( Stanford Type B aortic dissection )
DDeBakey第三型主動脈剝離( DeBakey Type III aortic dissection )
詳細解析
本題觀念:
急性主動脈症候群(Acute Aortic Syndrome, AAS)的變異型—特別是主動脈內膜下血腫(Intramural Hematoma, IMH)的影像學特徵與Stanford分類。
影像分析:
從提供的CT影像可觀察到:
- 橫斷面(左圖)於升主動脈壁旁見到一側性(Crescent-shaped)高密度帶狀增厚,與主動脈腔無明顯連通,也未見典型的瓣膜撕裂(intimal flap)或真假腔分離;此區高密度與未增強條件下的主動脈腔比對,呈現相對增高之血腫密度。
- 矢狀重組(右圖)顯示自主動脈根部起即向上、向後壁厚呈均勻增厚,並未見血管內膜撕裂延伸的間隔或假腔造影劑充填;壁外形成之高密度帶緊貼升主動脈,證實病灶累及升主動脈。
上述影像符合典型IMH表現:非增強CT見高密度血腫,對比增強CT僅見平滑壁增厚但無偽腔或撕裂口,且主要分佈於升主動脈處 (pmc.ncbi.nlm.nih.gov)。
選項分析
- 選項A Stanford A型主動脈內膜下血腫(Stanford Type A intramural hematoma )
‧ 位置:影像中病灶累及升主動脈,符合Stan
...(解析預覽)...
![醫師[2] - 術前術後管理與代謝外科 - AI 圖文解析預覽](/_next/image?url=https%3A%2F%2Fbgvxfcrmbdvefjhuvrmt.supabase.co%2Fstorage%2Fv1%2Fobject%2Fpublic%2Fvisual-explanations%2F209%2F8957_t657d617d.webp&w=3840&q=75)
升級 VIP 解鎖圖文解析