110年:醫學六(2)
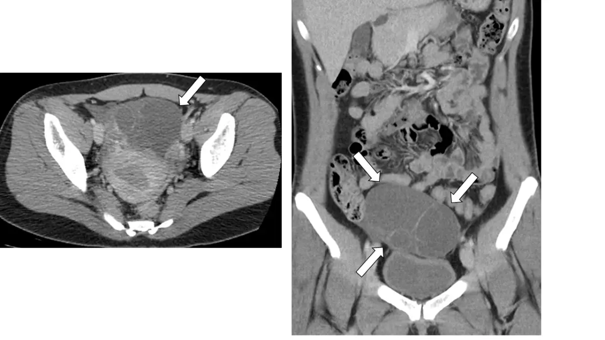
37歲女性,下腹部電腦斷層檢查呈現如圖,箭號所指之敘述何者最為可能?
A囊腺瘤( cystadenoma )
B子宮肌瘤( myoma )
C畸胎瘤( teratoma)
D膀胱瘤( bladder tumor )
詳細解析
本題觀念:
評估骨盆腫塊之CT影像特徵,以區分常見的良性卵巢上皮性腫瘤(cystadenoma)、畸胎瘤(teratoma)、子宮肌瘤(myoma)及膀胱腫瘤(bladder tumor)。
影像分析:
- 從橫斷面(axial)及冠狀面(coronal)對比增強CT可見一巨大多房性囊性腫塊位於骨盆中央,與子宮、膀胱明顯分離,呈均質低密度(近水樣)
- 各房室由極為薄且平滑的分隔連接,分隔壁無明顯厚度不均或結節增生
- 無任何脂肪成分(低HU區)、鈣化或實質造影增強結節
- 腫塊可擠壓並取代正常組織,延伸範圍可達下腹部,但與膀胱壁和子宮肌層無連續性
符合典型良性卵巢serous cystadenoma影像特徵。
選項分析
-
選項A 囊腺瘤(cystadenoma)
- 良性卵巢上皮性腫瘤,CT呈單或多房性囊性腫塊,內容均質液體,壁與分隔薄且規則,無實質結節或鈣化,腫瘤可巨大佔滿骨盆下腹 (radiopaedia.org)
- 本例正符上述特徵,診斷符合性最高。
-
選項B 子宮肌瘤(myoma)
- 多為實質性軟組織密度,等肌層密度,或伴有釉狀鈣化、退
...(解析預覽)...
![醫師[2] - 卵巢良性病變與先天異常 - AI 圖文解析預覽](/_next/image?url=https%3A%2F%2Fbgvxfcrmbdvefjhuvrmt.supabase.co%2Fstorage%2Fv1%2Fobject%2Fpublic%2Fvisual-explanations%2F214%2F8764_t9c7b0a35.webp&w=3840&q=75)
升級 VIP 解鎖圖文解析