115年:醫學六(1)
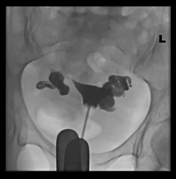
35歲女性病人主訴不孕,子宮輸卵管攝影檢查發現如附圖。最可能之診斷為何? 
A正常的子宮輸卵管影像
B雙側遠端輸卵管阻塞併輸卵管積水(hydrosalpinx )
C輸卵管癌( tubal cancer )
D輸卵管卵巢膿瘍( tubo-ovarian abscess )
詳細解析
本題觀念:
本題考查重點在於子宮輸卵管攝影(Hysterosalpingography, HSG)的影像判讀,特別是針對不孕症患者常見的輸卵管病變。考生需具備區分正常輸卵管通暢影像與病理性阻塞(如輸卵管積水)的能力,並了解其臨床處置意涵。
影像分析:
這是一張骨盆腔的子宮輸卵管攝影(HSG)正面觀影像,使用了顯影劑(contrast medium)進行檢查。
- 子宮(Uterus):影像中央可見顯影劑填充的子宮腔,呈現倒三角形,邊緣平滑,無明顯的充盈缺損(filling defect),顯示子宮腔形態大致正常。
- 輸卵管(Fallopian tubes):
- 顯影劑成功進入兩側輸卵管。
- 關鍵發現:兩側輸卵管的遠端(distal end,即壺腹部與繖部區域)呈現明顯的**囊狀擴張(cystic dilation)**與腫大,形狀類似香腸或燒瓶(retort-shaped)。
- 腹腔溢流(Peritoneal spill):正常情況下,顯影劑應從輸卵管末端溢出並散佈在腹腔內。但在此影像中,完全未見顯影劑溢流至腹腔(no free spill),顯影劑被侷限在擴張的輸卵管末端內。
- 綜合判斷:雙側輸卵管遠端阻塞併擴張,且無顯影劑溢出,為典型的**輸卵管積水(Hydrosalpinx)**影像特徵。
選項分析
- A. 正常的子宮輸卵管影像:錯誤。
- 正常的 HSG 影像應顯示顯影劑順暢通過輸卵管,並在末端呈現雲霧狀散開(free spill)進入腹腔。本圖顯示雙側末端阻塞且擴大,並非正常。
- B. 雙側遠端輸卵管阻塞併輸卵管積水(hydrosalpinx):正確。
- 影像特徵完全符合。輸卵管積水(Hydrosalpinx)是因遠端輸卵管阻塞,導致分泌物積聚,使管腔擴張、管壁變薄。在 HSG 上表現為顯影劑進入輸卵管後,堆積在末端形成盲端囊袋(blind pouch),且無腹腔溢流。這是不孕症(Tubal factor infertility)的重要原因。
- C. 輸卵管癌(tubal cancer):錯誤。
- 原發性輸卵管癌非常罕見。其影像特徵通常為輸卵管內出現不規則的充盈缺損(filling defect)、實質性腫塊或異常的顯影劑分佈,而非單純的平滑囊狀擴張。且癌症通常單側發生較多,雙側對稱性積水較少見。
- D. 輸卵管卵巢膿瘍(tubo-ovarian abscess, TOA):錯誤。
- TOA 是骨盆腔發炎(PID)的急性併發症,患者通常會有發燒、劇烈腹痛等急性感染症狀。
- 禁忌症:在急性骨盆腔感染期間,絕對禁忌進行 HSG 檢查,因為可能導致感染擴散。
- 雖然 TOA 的後遺症可能導致輸卵管積水,但針對這種「無急性症狀的不孕症檢查影像」,放射學診斷應為「輸卵管積水」。
答案解析
病人為年輕女性,主訴不孕。HSG 影像顯示雙側輸卵管遠端明顯擴張、腫大且顯影劑無法流出至腹腔,此為**雙側輸卵管積水(Hydrosalpinx)**的典型表現。積水內的液體具有胚胎毒性,會影響試管嬰兒(IVF)的著床率,因此是正確診斷。
核心知識點
-
輸卵管積水(Hydrosalpinx):
- 成因:通常源於先前的骨盆腔發炎(PID)、子宮內膜異位症或手術沾黏,導致輸卵管繖部(fimbriae)沾黏閉鎖。
- HSG 特徵:遠端輸卵管擴張(Dilated distal tube)、無腹腔溢流(No peritoneal spill)。
- 臨床影響:積水液體可能逆流回子宮腔,具有機械性沖刷作用及生化毒性,會降低胚胎著床率並增加流產率。
- 處置:對於計畫進行試管嬰兒(IVF)的患者,建議先進行腹腔鏡輸卵管切除術(Salpingectomy)或近端結紮,以提高懷孕率。
-
HSG 檢查時機與禁忌:
- 時機:月經乾淨後至排卵前(通常週期第 7-10 天)。
- 禁忌:懷孕、急性骨盆腔感染(PID)、顯影劑過敏。
參考資料
- UpToDate: Evaluation of female infertility.
- Radiopaedia: Hydrosalpinx (Hysterosalpingography).
- Speroff's Clinical Gynecologic Endocrinology and Infertility.