114年:內專

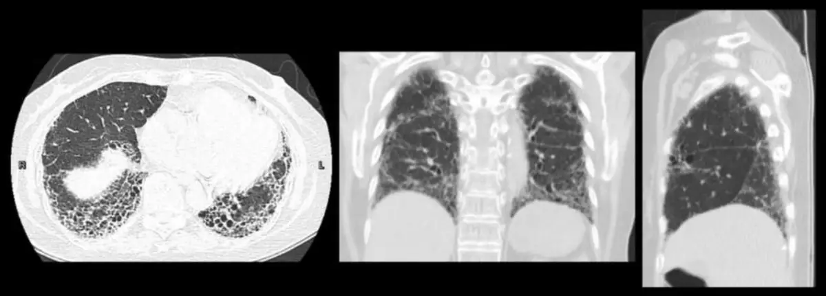
一位66歲女性,風濕免疫科確診為硬皮症(systemic sclerosis),因活動性喘至胸腔科門診就診。胸部電腦斷層掃描影像如附圖。經過風濕免疫科治療半年之後,病人咳嗽加劇,活動性喘更明顯,追蹤肺功能顯示用力肺活量(FVC)降低4%,一氧化碳肺瀰散量(DLCO)降低8%。胸部電腦斷層掃描,顯示新的蜂窩狀變化以及牽拉性支氣管擴張嚴重程度增加。關於此患者何者為錯誤?(1) 此患者肺功能已達漸進性肺纖維化(Progressive Pulmonary fibrosis, PPF)之標準(2) 影像表現為非特異性間質性肺炎(Non-Specific Interstitial Pneumonia)(3) 針對此患者目前已有充分臨床證據支持Pirfenidone之抗纖維化療效(4) 結締組織疾病相關的間質性肺病(CTD-ILD)產生漸進性肺纖維化之比例,最常見的是紅斑性狼瘡(SLE),其次是硬皮症 圖片描述

A(1)+(2)。
B(1)+(2)+(3)。
C(2)+(3)+(4)。
D(1)+(2)+(3)+(4)。
E(3)+(4)。

詳細解析

本題觀念:

硬皮症相關間質性肺病 (SSc-ILD)、漸進性肺纖維化 (PPF) 之診斷標準、影像學特徵 (UIP vs NSIP) 及抗纖維化藥物實證。

影像分析:

  • 影像特徵:電腦斷層 (CT) 顯示雙側下肺葉、肋膜下出現明顯的網狀陰影 (reticulation) 及蜂窩狀變化 (honeycombing),並伴隨牽拉性支氣管擴張 (traction bronchiectasis)。
  • 型態判讀:蜂窩狀變化 (Honeycombing) 是 UIP (Usual Interstitial Pneumonia) 型態的典型特徵。雖然 SSc-ILD 最常見的型態是 NSIP (主要為磨玻璃影 GGO,保留肋膜下,無蜂窩狀變化),但此病患影像明確顯示蜂窩狀變化,且題目文字提及「新的蜂窩狀變化」,故影像型態應為 UIP pattern,而非 NSIP。UIP pattern 在 SSc-ILD 中預後較差。

選項分析:

  • (1) 此患者肺功能已達漸進性肺纖維化(Progressive Pulmonary fibrosis, PPF)之標準錯誤

    • 根據 2022 ATS/ERS/JRS/ALAT 指引,PPF 的定義需符合以下三項中的至少兩項(發生於過去一年內):
      1. 呼吸道症狀惡化。
      2. 生理學證據:FVC 絕對值下降 \ge 5% DLCO (校正後) 絕對值下降 \ge 10%。
      3. 影像學證據:纖維化範圍增加。
    • 本題患者 FVC 下降 4% (未達 5%),DLCO 下降 8% (未達 10%)。
    • 雖然患者因「症狀惡化」及「影像惡化」整體符合 PPF 的診斷,但敘述特別指稱「肺功能已達...標準」,這在數值上是不符合的 (4% < 5%, 8% < 10%)。
  • (2) 影像表現為非特異性間質性肺炎(Non-Specific Interstitial Pneumonia)錯誤

    • NSIP 的影像特徵為磨玻璃影 (GGO)、網狀陰影,通常伴隨肋膜下保留 (subpleural sparing),且定義上不應出現蜂窩狀變化 (honeycombing)
    • 題目影像及文字均明確指出有「蜂窩狀變化」,這是 UIP pattern 的特徵。雖然 NSIP 是 SSc 最常見的表現,但此例為較嚴重的 UIP 表現。
  • (3) 針對此患者目前已有充分臨床證據支持 Pirfenidone 之抗纖維化療效錯誤

    • 目前針對 SSc-ILD 且具有進行性纖維化特徵 (PPF) 有充分實證並獲核准的抗纖維化藥物是 Nintedanib (基於 SENSCIS 及 INBUILD 試驗)。
    • 關於 Pirfenidone 在 SSc-ILD 的研究 (如 Scleroderma Lung Study III, SLS III),結果顯示 Pirfenidone 合併 MMF 治療相較於單用 MMF,在主要終點 (FVC 變化) 上並未達到統計學顯著差異。因此,目前尚無「充分」證據支持 Pirfenidone 在 SSc-ILD 的療效優於標準治療或 Nintedanib。
  • (4) 結締組織疾病相關的間質性肺病(CTD-ILD)產生漸進性肺纖維化之比例,最常見的是紅斑性狼瘡(SLE),其次是硬皮症錯誤

    • 在 CTD-ILD 中,最容易發展成漸進性肺纖維化 (PPF) 的疾病通常是 類風濕性關節炎 (RA)系統性硬化症 (SSc)
    • SLE 雖然可能併發 ILD,但其發生率較低,且發展成嚴重進行性纖維化的比例遠低於 RA 和 SSc。文獻指出 PPF-ILD 在 RA 和 SSc 中最為常見。

答案解析

題目要求選出「錯誤」的敘述。

  • (1) 肺功能數值未達標 (4% < 5%),敘述錯誤。
  • (2) 影像有蜂窩狀變化,為 UIP 而非 NSIP,敘述錯誤。
  • (3) Pirfenidone 缺乏充分實證 (Nintedanib 才是首選),敘述錯誤。
  • (4) SLE 並非最常見 PPF 原因 (應為 RA 或 SSc),敘述錯誤。

四個選項皆為錯誤,故正確答案為 D: (1)+(2)+(3)+(4)

核心知識點

  1. PPF 定義 (2022 指引):非 IPF 的 ILD 患者,過去一年內符合以下 3 項中至少 2 項:
    • 呼吸症狀惡化。
    • 生理惡化:FVC 下降 \ge 5% 或 DLCO 下降 \ge 10%。
    • 影像惡化:纖維化範圍增加 (牽拉性支氣管擴張、新的磨玻璃影或蜂窩狀變化)。
  2. SSc-ILD 影像:最常見為 NSIP (GGO, subpleural sparing),但約 25-30% 為 UIP (Honeycombing),UIP 預後較差。
  3. 治療藥物Nintedanib 是目前唯一有大型第三期臨床試驗證實對 SSc-ILD 及 PPF 有效的抗纖維化藥物。Pirfenidone 在非 IPF 的 ILD 中證據尚不充足。
  4. CTD-ILD 與 PPF:RA 與 SSc 是風險最高的族群;SLE 相對較少見嚴重纖維化。

參考資料

  1. Raghu G, et al. Idiopathic Pulmonary Fibrosis (an Update) and Progressive Pulmonary Fibrosis in Adults: An Official ATS/ERS/JRS/ALAT Clinical Practice Guideline. Am J Respir Crit Care Med. 2022 May 1;205(9):e18-e47.
  2. Distler O, et al. Nintedanib for Systemic Sclerosis-Associated Interstitial Lung Disease (SENSCIS). N Engl J Med. 2019.
  3. Khanna D, et al. Combining Pirfenidone With Mycophenolate Mofetil for Systemic Sclerosis–Related Interstitial Lung Disease (Scleroderma Lung Study III). ACR Open Rheumatology. 2025.