114年:內專

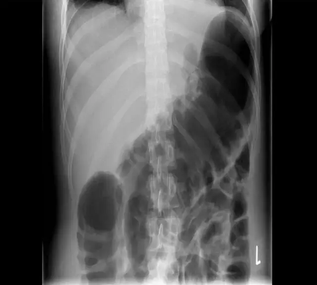
一位40歲女士罹患潰瘍性大腸炎( ulcerative colitis)數年,昨天起出現嚴重腹痛及腹瀉的症狀,且合併發燒。至醫院急診就醫時發現有白血球增多的現象 (leukocytosis),腹部X光片顯示如圖。請問其最可能的診斷為下列何者? 圖片描述

AAcute mesenteric ischemia。
BColonic intussusception。
CToxic megacolon。
DVolvulus。
ESigmoid colon cancer。

詳細解析

本題觀念:

中毒性巨結腸症 (Toxic Megacolon) 這是一種潰瘍性大腸炎 (Ulcerative Colitis, UC) 潛在的致命併發症,但也可能發生在克隆氏症 (Crohn's disease) 或感染性腸炎 (如 C. difficile)。其特徵為結腸的非阻塞性擴張 (non-obstructive dilatation),伴隨全身性中毒症狀。

影像分析:

提供的腹部 X 光片 (KUB) 顯示以下特徵:

  1. 顯著的腸氣擴張:橫結腸 (transverse colon) 與降結腸段呈現極度擴張。從影像中與脊椎骨寬度相比,該腸段直徑明顯大於 6 公分 (中毒性巨結腸症的診斷標準之一)。
  2. 結腸袋消失 (Loss of haustral markings):擴張的腸段邊緣平滑,缺乏正常的結腸袋 (haustra) 結構,這是由於嚴重的透壁性發炎 (transmural inflammation) 導致腸壁肌肉張力喪失及黏膜水腫所致。
  3. 缺乏特定的扭轉徵象:影像中並未見到乙狀結腸扭轉典型的「咖啡豆徵象 (Coffee bean sign)」,顯示為整段或廣泛性的結腸擴張而非單一腸氣環的扭轉。

選項分析:

  • A. Acute mesenteric ischemia (急性腸系膜缺血)
    • 雖然可能導致腸道壞死,但早期 X 光通常正常。晚期可能出現腸壁積氣 (pneumatosis intestinalis) 或門靜脈積氣。雖然缺血也可能導致巨結腸,但本題患者有明確的 Ulcerative Colitis 病史,且臨床表現符合 UC 急性惡化的特徵,因此中毒性巨結腸症為更直接的診斷。
  • B. Colonic intussusception (結腸套疊)
    • 成人少見,通常由腫瘤引起。X 光下通常表現為腸阻塞或軟組織腫塊,不會表現為這種瀰漫性的巨大結腸擴張伴隨全身毒性症狀。
  • C. Toxic megacolon (中毒性巨結腸症)
    • 正確答案
    • 病史符合:40歲女性,已知罹患潰瘍性大腸炎。
    • 症狀符合:嚴重腹痛、腹瀉、發燒 (全身性毒性徵象)。
    • 檢驗符合:白血球增多 (Leukocytosis)。
    • 影像符合:X 光顯示結腸直徑 > 6cm 且結腸袋消失。
    • 這完全符合 Jalan's criteria 的診斷標準 (結腸擴張 + 毒性徵象)。
  • D. Volvulus (腸扭轉)
    • 乙狀結腸扭轉 (Sigmoid volvulus) 通常會有自骨盆腔向上延伸的倒 U 型巨大腸氣迴圈 (Coffee bean sign),且頂點通常指向右上腹。盲腸扭轉 (Cecal volvulus) 則像胚胎狀指向左上腹。本圖影像特徵較符合橫結腸的節段性擴張,非典型扭轉表現。
  • E. Sigmoid colon cancer (乙狀結腸癌)
    • 通常表現為漸進式的排便習慣改變或腸阻塞 (Apple-core lesion)。雖然可能造成近端結腸擴張,但「急性發燒、白血球增多合併巨結腸」的臨床表現,指向發炎性併發症 (Toxic megacolon) 遠多於單純的惡性腫瘤阻塞。

答案解析

患者有潰瘍性大腸炎病史,急性發作並出現發燒、腹痛、白血球過高 (Leukocytosis)。腹部 X 光顯示橫結腸顯著擴張 (>6cm) 且失去結腸袋紋路。這些發現完全符合 中毒性巨結腸症 (Toxic Megacolon) 的臨床與放射學診斷標準。因此最可能的診斷為 (C)

核心知識點:Jalan's Criteria (中毒性巨結腸症診斷標準)

診斷需同時符合影像學證據與臨床毒性徵象:

  1. 影像學證據:結腸擴張 (Colonic dilatation),通常直徑 > 6 cm。
  2. 臨床毒性徵象 (至少 3 項)
    • 發燒 (Fever > 38.6°C)
    • 心跳過快 (Tachycardia > 120 bpm)
    • 白血球增多 (Leukocytosis > 10,500/mm³)
    • 貧血 (Anemia)
  3. 加上至少 1 項脫水/電解質/意識異常
    • 脫水 (Dehydration)
    • 意識改變 (Altered mental status)
    • 電解質異常 (Electrolyte abnormality)
    • 低血壓 (Hypotension)

臨床重要性

中毒性巨結腸症是內科急症,若未及時治療 (內科治療如類固醇、廣效抗生素、禁食;無效則需手術),可能導致腸穿孔 (perforation)、敗血症與死亡。在急性期應避免進行全大腸鏡檢查 (Total colonoscopy) 或鋇劑灌腸,以免誘發穿孔。

參考資料

  1. Jalan KN, Sircus W, Card WI, et al. An experience of ulcerative colitis. I. Toxic dilation in 55 cases. Gastroenterology 1969.
  2. Harrison's Principles of Internal Medicine, Inflammatory Bowel Disease chapter.