108年:醫學二(2)
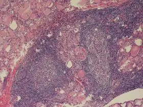
45 歲女性,甲狀腺呈結節性、對稱性腫⼤,與四周組織無沾黏。實驗室檢查發現⾎中有抗微粒體抗體(antimicrosomal antibody )。病理顯微變化如圖⽰,下列何者為最有可能的診斷? 
A橋本⽒甲狀腺炎( Hashimoto thyroiditis )
B亞急性甲狀腺炎( subacute thyroiditis )
C雷得⽒甲狀腺炎( Riedel thyroiditis )
D慢性纖維性甲狀腺炎( chronic fibrosing thyroiditis )
詳細解析
本題觀念:
本題考查 橋本氏甲狀腺炎(Hashimoto thyroiditis) 的典型臨床表現、實驗室檢查特徵及病理組織學診斷。這是最常見的甲狀腺功能低下原因,屬於自體免疫疾病。
影像分析:
題目附圖為甲狀腺的 H&E 染色組織切片(低倍率),具有以下關鍵病理特徵:
- 淋巴細胞浸潤(Lymphocytic infiltration):影像中可見甲狀腺組織被大量的藍色發炎細胞(淋巴球)浸潤。
- 生發中心(Germinal centers):這是本題影像最顯著的特徵。在藍色的淋巴浸潤區域中,可見圓形、中心較淡的構造,這就是淋巴濾泡(lymphoid follicles)形成的生發中心。這代表長期且強烈的自體免疫反應。
- 甲狀腺濾泡萎縮(Atrophic follicles):正常的膠體(colloid)充滿的濾泡被破壞、變小或消失。
- Hürthle cell 變化:雖然在低倍下較難看清細胞細節,但在橋本氏甲狀腺炎中,殘存的濾泡細胞常發生嗜酸性變化(細胞質變紅、顆粒狀),稱為 Hürthle cells(或 oxyphil cells)。圖中粉紅色區域即為殘存或化生的甲狀腺濾泡上皮。
選項分析:
- A. 橋本氏甲狀腺炎(Hashimoto thyroiditis):**正確答
...(解析預覽)...
![醫師[1] - 腎臟泌尿與內分泌病理 - AI 圖文解析預覽](/_next/image?url=https%3A%2F%2Fbgvxfcrmbdvefjhuvrmt.supabase.co%2Fstorage%2Fv1%2Fobject%2Fpublic%2Fvisual-explanations%2F523%2F32608_t9db7583a.webp&w=3840&q=75)
升級 VIP 解鎖圖文解析