107年:醫學二(2)
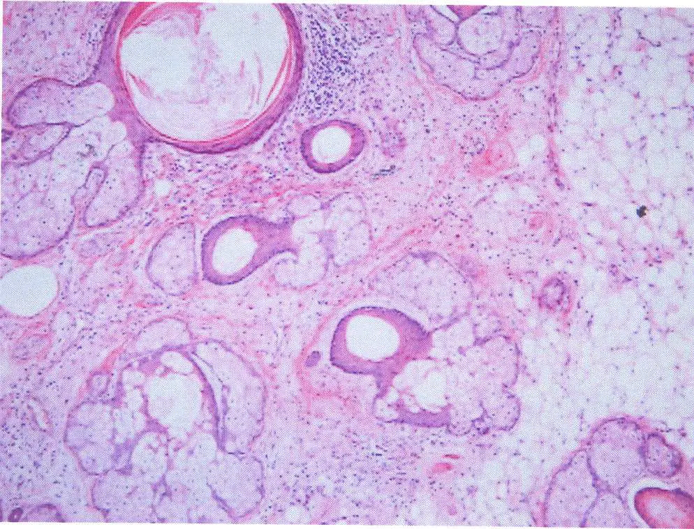
附圖顯示一位 40 歲病人的睪丸腫瘤之局部,下列有關敘述,何者最不適當? 
A臨床表現常為惡性
B常合併其他惡性生殖細胞瘤
C血中的腫瘤標記 AFP 及β-HCG 可能上升
D此腫瘤為表皮囊腫
詳細解析
本題觀念:
本題考查重點在於**睪丸生殖細胞瘤(Testicular Germ Cell Tumors)的病理診斷與臨床特性,特別是區分畸胎瘤(Teratoma)與表皮囊腫(Epidermoid cyst)**的組織學差異,以及了解成人(青春期後)睪丸畸胎瘤的惡性本質。
影像分析:
提供的顯微鏡病理切片圖顯示了以下關鍵特徵:
- 角質囊腫(Keratin-filled cyst):左上方可見一個大型囊腔,內含層狀排列的角質物(lamellated keratin),這是表皮樣結構的特徵。
- 皮膚附屬器(Skin appendages / Adnexal structures):這是本題最重要的鑑別點。在囊腫旁邊(圖片中央及右側),可見數個分葉狀、由細胞質清亮(clear cytoplasm)細胞組成的腺體結構,這是典型的皮脂腺(Sebaceous glands)。此外,似乎可見毛囊(hair follicle)樣的結構。
- 多樣化組織:除了表皮與附屬器,周邊間質看似纖維組織,這是畸胎瘤中常見的中胚層成分。
影像診斷結論: 由於切片中不僅有表皮囊腫,還明確出現了皮脂腺等皮膚附屬器,這符合**皮樣囊腫(Dermoid cyst)或成熟畸胎瘤(Mature Teratoma)**的特徵,而
...(解析預覽)...
![醫師[1] - 生殖系統與乳房病理 - AI 圖文解析預覽](/_next/image?url=https%3A%2F%2Fbgvxfcrmbdvefjhuvrmt.supabase.co%2Fstorage%2Fv1%2Fobject%2Fpublic%2Fvisual-explanations%2F527%2F33008_tf8022a14.webp&w=3840&q=75)
升級 VIP 解鎖圖文解析