115年:神經物治(1)
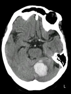
一位出血性中風病患入院後的影像檢查如下圖,該病患最不可能出現下列何項臨床檢查結果? 
A進行追視檢查時,出現眼球震顫
B深腱反射降低
C執行仿畫測驗時,僅畫出左側的圖像
D執行指鼻測試時,出現對不準鼻尖
詳細解析
本題觀念:
本題考查重點在於**小腦出血(Cerebellar Hemorrhage)的影像判讀及其對應的小腦症候群(Cerebellar syndrome)**臨床表現。同時需要區分小腦損傷與大腦皮質損傷(如頂葉)所導致的神經學缺損差異。
影像分析:
- 影像類型:腦部電腦斷層掃描(Brain CT),無顯影劑(Non-contrast)。
- 病灶位置:
- 在後顱窩(Posterior fossa)可見一團高密度(Hyperdense,白色)的區域,這是典型的急性出血訊號。
- 根據影像右下角的「L」標記(代表病患左側),以及CT慣例(影像右側為病患左側),該出血病灶位於左側小腦半球。
- 病灶周圍有些微低密度的水腫區域,且可能對第四腦室造成壓迫。
- 診斷:左側小腦出血(Left Cerebellar Hemorrhage)。
選項分析:
-
A. 進行追視檢查時,出現眼球震顫 (Nystagmus)
- 分析:小腦與前庭系統有緊密連結(前庭小腦 Vestibulocerebellum),負責眼球運動的協調與固視。小腦病變常導致眼球震顫(Nystagmus),特別是注視眼震(Gaze-evoked nystagmus)。
- 結論:這是小腦損傷的常見表現。
-
B. 深腱反射降低 (Decreased deep tendon reflexes)
- 分析:急性小腦病變的特徵之一是肌肉張力低下(Hypotonia),這發生在病灶同側(Ipsilateral)。張力低下會導致深腱反射(DTR)減弱或呈現鐘擺式反射(Pendular knee jerk)。雖然慢性期或合併腦幹壓迫可能出現其他變化,但在急性小腦出血期,張力低下與反射降低是典型的檢查發現(Holmes' sign)。
- 結論:這是符合小腦損傷(特別是急性期)的表現。
-
C. 執行仿畫測驗時,僅畫出左側的圖像 (Hemispatial Neglect)
- 分析:此選項描述的是半側忽略症(Hemispatial neglect),具體來說是「忽略右側,只畫左側」,或是指「半側空間忽略」。
- 定位錯誤:單側忽略症是大腦皮質功能的缺損,最典型見於**右側頂葉(Right Parietal Lobe)**損傷,導致左側忽略(只畫出右側)。若為「僅畫出左側」,則暗示忽略右側(右側忽略),這通常對應左側大腦皮質損傷。
- 與小腦無關:雖然小腦與認知功能有關(Cerebellar Cognitive Affective Syndrome),但典型的視覺空間忽略(Visual Neglect,如仿畫測試異常)並非小腦出血的主要臨床特徵。
- 神經解剖不符:即使考慮神經聯絡網(Diaschisis),左側小腦投射至右側大腦,理論上若影響皮質功能,應類似右大腦損傷(左側忽略,即只畫右側)。但選項是「僅畫出左側」(忽略右側),這在解剖生理上完全無法解釋。
- 結論:這是最不可能的結果,因為這是頂葉(皮質)受損的特徵。
- 分析:此選項描述的是半側忽略症(Hemispatial neglect),具體來說是「忽略右側,只畫左側」,或是指「半側空間忽略」。
-
D. 執行指鼻測試時,出現對不準鼻尖 (Dysmetria)
- 分析:指鼻測試(Finger-to-Nose Test)用於評估辨距不良(Dysmetria)與意向性顫抖(Intention tremor)。小腦半球控制同側肢體的協調。左側小腦出血會導致病患左手出現辨距不良(指不到鼻尖)。
- 結論:這是小腦半球損傷最經典的徵象之一。
答案解析
本題病患為左側小腦出血。
- 選項 (A)、(B)、(D) 均為小腦功能失調的直接表現(眼球震顫、張力低下/反射降低、辨距不良)。
- 選項 (C) 描述的**半側忽略(Neglect)是大腦頂葉(Parietal lobe)**受損的特徵性表現,並非小腦病變的典型症狀。因此,(C) 是最不可能出現的檢查結果。
正確答案:C
核心知識點
- 小腦症候群 (Cerebellar Syndrome) 典型表現(口訣:DANISH):
- Dysdiadochokinesia (拮抗運動不能)
- Ataxia (共濟失調,步態不穩)
- Nystagmus (眼球震顫)
- Intention tremor (意向性顫抖)
- Slurred speech / Scanning speech (語言含糊/吟詩樣語言)
- Hypotonia (張力低下) -> 導致深腱反射降低或呈鐘擺狀。
- 病灶側性:小腦控制同側 (Ipsilateral) 肢體。
- 半側忽略 (Hemispatial Neglect):主要為**非優勢大腦半球(通常為右側頂葉)**受損,導致對側(左側)空間忽略。
參考資料
- Ropper, A. H., & Samuels, M. A. (2019). Adams and Victor's Principles of Neurology. (Cerebellar Ataxia & Intracranial Hemorrhage chapters).
- Uptodate: Clinical manifestations and diagnosis of cerebellar ataxia.