114年:神經物治(2)
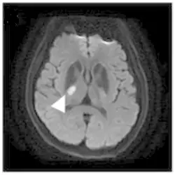
小洞梗塞性(lacunar infract)中風病患,呈現左側下肢無力,根據影像檢查(如下圖),其受損位置應為下列何者? 
A內囊後腳
B視丘
C大腦腳
D上小腦腳
詳細解析
本題觀念:
本題核心觀念為**小洞性梗塞(Lacunar Infarct)的影像判讀與神經解剖學定位,特別是針對純運動中風(Pure Motor Stroke)與內囊(Internal Capsule)**的對應關係。
影像分析:
- 影像類型:這是一張腦部 MRI 的軸切面(Axial view),從顯影的高訊號(亮白)病灶來看,極可能為擴散權重影像(DWI),顯示急性的缺血性中風。
- 解剖構造辨識:
- 左右定位:放射科影像慣例為「左圖右腦」,即圖片左側代表病人的右腦。題目敘述病人為「左側」下肢無力,故病灶應位於「右側」大腦半球,與影像相符。
- 核心構造:
- 視丘(Thalamus):位於影像中央偏內側的灰質核團,緊鄰第三腦室。
- 豆狀核(Lentiform Nucleus):位於外側的灰質結構。
- 內囊(Internal Capsule):位於視丘與豆狀核之間的 V 字形白質纖維束。
- 病灶位置(箭頭處):白色箭頭所指的高訊號病灶位於右側大腦半球深部。它清楚地坐落在視丘(內側)與豆狀核(外側)之間的白質帶,且位於該 V 字形結構的後臂。此區域即為內囊後腳(Posterior limb of internal capsule, PLIC)。
選項分析
-
A. 內囊後腳(Posterior limb of internal capsule):正確。
- 解剖功能:內囊後腳主要包含皮質脊髓束(Corticospinal tract, CST),負責對側身體的隨意運動控制。
- 軀體皮節定位(Somatotopy):皮質脊髓束在內囊後腳的排列,傳統上由前至後依序為臉、手、軀幹、腳(F-A-T-L)。雖然現代影像研究顯示有重疊,但控制下肢的纖維確實位於內囊後腳的較後方。
- 臨床表現:此處的小洞性梗塞是造成「純運動中風(Pure Motor Stroke)」最常見的原因,表現為對側(左側)偏癱,符合題幹敘述的左下肢無力。
- 影像吻合:影像中病灶精確地位於內囊後腳。
-
B. 視丘(Thalamus):錯誤。
- 解剖位置:視丘位於內囊後腳的內側。影像中的病灶明顯位於白質束(內囊)內,而非內側的灰質核團(視丘)。
- 臨床症狀:視丘梗塞最典型的表現是「純感覺中風(Pure Sensory Stroke)」,病人會有對側偏身麻木或感覺異常,單純運動無力較少見(除非病灶延伸壓迫到內囊)。
-
C. 大腦腳(Cerebral peduncle):錯誤。
- 解剖位置:大腦腳位於中腦(Midbrain)腹側。本題影像層次為基底核/側腦室層面(Basal ganglia level),位置較高,尚未到達中腦(中腦切面通常呈現米老鼠耳朵形狀)。
-
D. 上小腦腳(Superior cerebellar peduncle):錯誤。
- 解剖位置:位於中腦與橋腦交界處的背側。
- 臨床症狀:病變主要導致小腦性共濟失調(Ataxia),而非單純的偏癱無力。
答案解析
本題病患表現為左側下肢無力,屬上運動神經元徵候,且為純運動缺損,暗示病變位於右側皮質脊髓路徑上。影像顯示右側內囊後腳有急性梗塞病灶。內囊後腳正是皮質脊髓束(CST)下行的關鍵路徑,該處受損會導致對側肢體無力(Hemiparesis)。結合影像中病灶位於視丘與豆狀核之間的白質區,以及臨床症狀,最佳答案為 (A) 內囊後腳。
核心知識點
- 小洞性中風症候群(Lacunar Syndromes):
- 純運動中風(Pure Motor Stroke):最常見,病灶多位於內囊後腳(Posterior limb of internal capsule)或橋腦基部(Basis pontis)。
- 純感覺中風(Pure Sensory Stroke):病灶多位於視丘(Thalamus VPL/VPM nucleus)。
- 運動感覺混合中風(Sensorimotor Stroke):病灶位於視丘與內囊交界處。
- 內囊解剖:
- 前腳(Anterior limb):介於尾核與豆狀核之間。
- 膝部(Genu):皮質延腦束(Corticobulbar tract)通過,控制頭頸部運動。
- 後腳(Posterior limb):皮質脊髓束(Corticospinal tract)通過,控制軀幹與四肢運動;亦包含感覺纖維。
參考資料
- Radiology Assistant - Brain Anatomy - Axial.
- UpToDate - Lacunar infarcts: Clinical presentation and diagnosis.
- Osborn's Brain: Imaging, Pathology, and Anatomy.