114年:心兒物治(2)
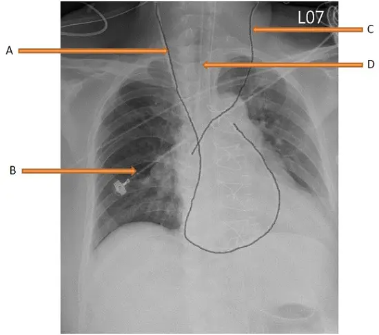
下圖胸部X光檢查中,那一條是中心靜脈壓導管(CVP line)? 
AA
BB
CC
DD
詳細解析
本題觀念:
本題考查重點為 胸部 X 光(CXR)中常見管路與醫療器材的辨識。臨床醫師必須能夠準確區分氣管內管(Endotracheal tube, ETT)、鼻胃管(Nasogastric tube, NG tube)、中心靜脈導管(Central Venous Catheter, CVP line / CVC)及肺動脈導管(Swan-Ganz catheter)等器材在影像上的特徵與正確位置。
影像分析:
請參照題目所附之胸部 X 光影像進行分析:
- 標示 A (Nasogastric Tube):
- 觀察:此管路從頭頸部向下延伸,沿著脊椎/食道走向垂直下降,並穿過橫膈膜(Diaphragm)進入腹腔/胃部。
- 判斷:這是典型的 鼻胃管(NG tube)。其特徵是路徑筆直且末端位於橫膈膜下方。
- 標示 B (ECG Electrode):
- 觀察:位於右側肺野(Right lung field)上的金屬密度物體,形狀呈圓形或矩形扣狀,且連結著細線。
- 判斷:這是 外部心電圖電極貼片(ECG electrode),貼在患者胸壁皮膚上,並非植入體內的管路。
- 標示 C (Central Venous Catheter / CVP line):
- 觀察:此管路起源於 左側頸部(病人的左側,影像的右側),沿著縱膈腔向下走行,並跨越中線進入上腔靜脈(SVC)或右心房區域。影像中可見該導管在心臟陰影處形成迴圈(loop),這通常是肺動脈導管(Swan-Ganz catheter)的特徵。
- 判斷:雖然 Swan-Ganz 導管主要用於測量肺動脈壓,但它本身是由中心靜脈置入(如經由左側內頸靜脈或鎖骨下靜脈),且導管近端開口(Proximal port)位於右心房,可用於測量 中心靜脈壓(CVP)。在考題選項中,這是唯一符合「中心靜脈管路」特徵的選項。
- 標示 D (Endotracheal Tube):
- 觀察:位於頸部正中央氣管內的管狀結構,其末端(Tip)位於氣管隆突(Carina)上方約 3-5 公分處。
- 判斷:這是 氣管內管(Endotracheal Tube, ETT),用於維持呼吸道暢通。
選項分析
- A:由影像可見管路延伸至橫膈膜下方,為 鼻胃管(NG tube),非 CVP line。
- B:位於胸壁外的金屬扣件,為 心電圖電極(ECG electrode),非管路。
- C:由左頸靜脈或鎖骨下靜脈進入,末端位於心臟/上腔靜脈區域,為 中心靜脈導管(CVP line / Swan-Ganz)。此為正確答案。
- D:位於氣管內,為 氣管內管(ETT),非 CVP line。
答案解析
正確答案:C
題目詢問「哪一條是中心靜脈壓導管(CVP line)」。
- 排除法:
- A 是鼻胃管(進入胃部)。
- B 是體外監測電極。
- D 是氣管內管(位於氣管)。
- 正面確認:
- C 指向的管路是經由靜脈系統(左側內頸靜脈 Left IJV 或鎖骨下靜脈 Left Subclavian Vein)置入。雖然影像顯示的可能是一條肺動脈導管(因其在心臟內繞圈進入肺動脈),但肺動脈導管必須經由中心靜脈置放,且具備測量 CVP 的功能(Proximal port)。在四個選項中,只有 C 是血管內導管,符合 CVP line 的定義與位置。
核心知識點
在 CXR 上辨識管路的關鍵特徵(Study Guide):
- 中心靜脈導管(CVP line / CVC):
- 路徑:源自頸部(IJV)或鎖骨下(Subclavian),末端應位於 上腔靜脈(SVC) 或 上腔靜脈與右心房交界處(Cavo-atrial junction)。
- 左側 vs 右側:右側置入通常路徑較直;左側置入則需跨越中線(Left Brachiocephalic vein)至右側 SVC。
- 肺動脈導管(Swan-Ganz catheter):
- 為一種特殊的中心靜脈導管,特徵是在心臟陰影內形成 迴圈(Loop),路徑為 RA → RV → PA(肺動脈)。
- 鼻胃管(NG tube):
- 沿中線下行,必須穿過橫膈膜,末端位於胃泡(Gastric bubble)內。
- 氣管內管(ETT):
- 位於氣管氣柱內,末端應在 Carina 上方 3-5 cm,不可過深(避免單肺插管)或過淺。
參考資料
- Radiology Masterclass: Chest X-ray - Tubes - CV Catheters
- UpToDate: Placement of jugular venous catheters
- Life in the Fast Lane (LITFL): CXR – Lines and Tubes