114年:神經物治(1)
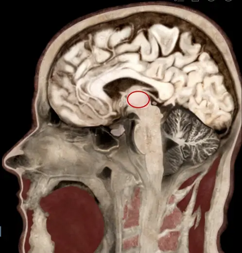
吳先生因車禍造成腦創傷並且昏迷,其兩側肢體出現僵直的姿勢(rigidity posture)反應,送醫經影像檢查發現其腦部有出血現象,受損位置如圖所圈示。下列何者為吳先生會出現的肌張力反應? 
A後弓反張:頸部及軀幹有過強的伸直張力
B去皮質僵直:上肢屈曲及下肢伸直反應
C去大腦僵直:四肢呈現伸直反應
D去大腦僵直:上肢伸直及下肢屈曲反應
詳細解析
本題觀念:
本題考查的是異常反射姿勢(Abnormal Posturing)與腦部受損部位的對應關係。這是神經重症與急救醫學中的核心觀念,主要區分兩種病理姿勢:
- 去皮質僵直 (Decorticate Rigidity):受損部位在紅核(Red Nucleus)以上(如大腦皮質、內囊、視丘/間腦)。
- 去大腦僵直 (Decerebrate Rigidity):受損部位在紅核或其以下(主要為中腦、上部橋腦)。
影像分析:
- 影像種類:這是一張腦部 MRI 的矢狀切面圖(Sagittal view)。
- 解剖定位:
- 影像中紅色圓圈圈選的構造位於**胼胝體(Corpus Callosum)的下方,以及中腦(Midbrain)**的上方。
- 該橢圓形灰質結構為視丘(Thalamus),屬於間腦(Diencephalon)的一部分。
- 在紅圈的下方,可以觀察到中腦的構造(包含四疊體/Colliculi),而紅圈顯然位於中腦之上。
- 臨床判斷:
- 受損位置為視丘(間腦)。
- 解剖生理學上,視丘位於中腦紅核的上方(Supratentorial / Above the
...(解析預覽)...

升級 VIP 解鎖圖文解析