114年:神經物治(1)
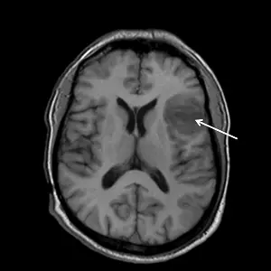
中風男性的核磁共振影像如下圖所示,最有可能的診斷為何? 
A小洞梗塞型中風(lacunar stroke)
B前大腦動脈梗塞型中風
C中大腦動脈梗塞型中風
D蜘蛛膜下腔出血
詳細解析
本題觀念:
本題主要考驗考生對於腦部血管供應支配區域 (Vascular Territories) 的解剖位置辨識,以及腦中風在核磁共振 (MRI) T1 加權影像上的典型表現。核心概念在於區分不同腦大動脈(如 MCA、ACA)支配的腦區,並根據病灶的大小與位置排除小洞梗塞。
影像分析:
- 影像序列判讀:
- 觀察腦室內的腦脊髓液 (CSF) 呈現黑色(低訊號),腦灰質訊號比白質稍暗,這是典型的 T1 加權影像 (T1-weighted image)。
- 病灶位置與特徵:
- 影像右側(即病人的左腦半球)可見一個大範圍的明顯低訊號 (Hypointense) 區域(白色箭頭所指)。
- 該病灶範圍涵蓋了外側的額葉與頂葉皮質區,並向深部延伸至基底核 (Basal ganglia) 與腦島 (Insula) 區域。
- 此區域完全符合中大腦動脈 (Middle Cerebral Artery, MCA) 的典型供血範圍。
- 病灶呈現低訊號,代表該區腦組織發生水腫或壞死(Infarction/Edema),符合缺血性中風的表現。
- 排除其他區域:
- 內側額葉(大腦縱裂旁)訊號正常,表示前大腦動脈 (
...(解析預覽)...

升級 VIP 解鎖圖文解析