113年:神經物治(2)
李奶奶是一名失智症患者,主要症狀是忘東忘西,最近更是忘了家人的名字、出門就會迷路。以磁振造影檢查,最主要會發現那一個腦區有萎縮的現象? 
A①
B②
C③
D④
詳細解析
本題觀念:
本題考查阿茲海默症 (Alzheimer's Disease, AD) 的典型臨床表現及其對應的神經放射影像學 (Neuroradiology) 特徵。
- 臨床表現:李奶奶的症狀為近期記憶力減退(忘東忘西、忘記名字)以及空間定向感喪失(出門迷路)。這是阿茲海默症典型的早期症狀,反映了情節記憶 (Episodic memory) 和空間導航 (Spatial navigation) 功能的受損。
- 病理對應:這些功能主要由大腦的內側顳葉 (Medial Temporal Lobe),特別是海馬迴 (Hippocampus) 及其周邊的嗅內皮質 (Entorhinal cortex) 負責。
- 影像特徵:在磁振造影 (MRI) 上,阿茲海默症患者最早且最顯著的變化是海馬迴萎縮 (Hippocampal atrophy)。
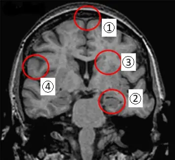
影像分析:
本圖為腦部 MRI 的冠狀切面 (Coronal view) 影像,顯示了大腦的內部結構。讓我們依序辨識標示的解剖位置:
- ① (上方紅圈):指向大腦縱裂 (Longitudinal fissure) 旁的皮質區域,約為扣帶迴 (Cingulate gyrus) 或內側額葉 (Medial fron
...(解析預覽)...

升級 VIP 解鎖圖文解析