111年:神經物治(1)
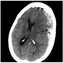
陳先生在家中浴室跌倒時撞到頭部,家人立即送急診,他的電腦斷層影像顯示其出血部位為何? 
A大腦皮質
B胼胝體
C硬腦膜下腔
D中大腦動脈
詳細解析
本題觀念:
本題考查**創傷性腦損傷(Traumatic Brain Injury, TBI)在電腦斷層(CT)影像上的鑑別診斷。核心觀念在於區分不同類型的顱內出血,特別是硬腦膜下出血(Subdural Hematoma, SDH)與硬腦膜外出血(Epidural Hematoma, EDH)**的影像特徵差異。
影像分析:
- 檢查方式:這是一張腦部**未打顯影劑的電腦斷層(Non-contrast CT)**橫切面影像。
- 病灶位置與形狀:
- 在影像右側(病人的左側大腦半球,CT影像左右相反)可以看到一片高密度(白色)的出血區。
- 該出血區呈現典型的**新月形(Crescent shape)**或凹透鏡狀,沿著大腦半球的凸面分佈。
- 箭頭所指之處顯示血塊內緣呈現凹陷狀,順著腦組織表面延伸,這是硬腦膜下出血的特徵。
- 佔位效應(Mass Effect):
- 出血造成明顯的佔位效應,壓迫左側大腦半球。
- 可見**中線偏移(Midline shift)**向右側(病人的右側)。
- 左側側腦室受壓變形甚至消失。
- 綜合判斷:高密度的新月形出血,且造成腦實質壓迫,為典型的**急性硬腦膜下出血(Acute Sub
...(解析預覽)...

升級 VIP 解鎖圖文解析