111年:心兒物治(1)
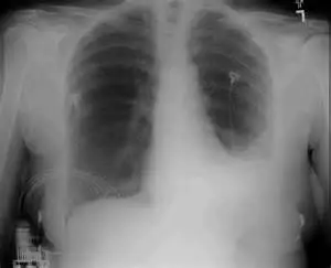
下圖為開心手術後病患的胸腔 X 光片,應加強下列何項物理治療? 
A姿位引流及叩擊
B圓唇吐氣呼吸
C局部呼吸
D舌咽呼吸
詳細解析
本題觀念:
開心手術後肺部併發症 (Post-operative Pulmonary Complications, PPCs) 之物理治療。 開心手術(Open Heart Surgery)後,病患極易出現肺部併發症,其中最常見的是肺塌陷 (Atelectasis),特別是發生在左下肺葉。物理治療的主要目標是增加肺部擴張、清除痰液及改善氣體交換。
影像分析:
- 胸腔 X 光 (CXR) 判讀:
- 左下肺野 (Left Lower Lung Field):出現大片的白色致密陰影 (Opacity),這導致左側橫膈膜邊界 (Diaphragm border) 和左心緣 (Left heart border) 模糊不清(Silhouette sign)。這是典型左下肺葉塌陷 (LLL Atelectasis) 的表現,也可能伴隨部分肋膜積水 (Pleural effusion)。
- 右肺野:相對清晰,無明顯塌陷。
- 手術痕跡:雖影像解析度有限,但結合題幹「開心手術後」,正中胸骨處應有胸骨鋼絲 (Sternal wires),且術後傷口疼痛會限制病患的深呼吸能力。
- 臨床意義:影像顯示明顯的局部肺容積減少(塌陷)。治療重點應針對該區域(左下
...(解析預覽)...

升級 VIP 解鎖圖文解析