110年:心兒物治(2)
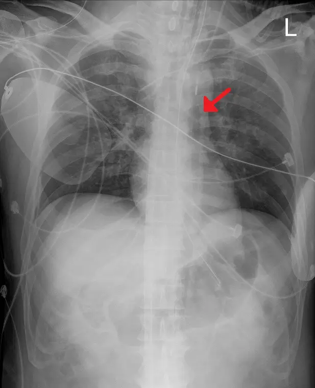
下圖是一位加護病房中狀況穩定的心臟疾病患者之 X 光影像,下列敘述何項正確? 
A紅色箭號所指裝置是左心室輔助器( LVAD )
B患者須臥床,不能進行床邊運動
C患者右側髖部不能彎曲
D紅色箭號所指裝置可以增加心肌灌流
詳細解析
本題觀念:
本題考查重點為主動脈內氣球幫浦 (Intra-Aortic Balloon Pump, IABP) 的影像判讀、生理作用及其物理治療注意事項。考生需能從 X 光影像中區分 IABP 與其他循環輔助裝置(如 LVAD),並了解其對心肌灌流的影響及相關擺位限制。
影像分析:
- 裝置識別:
- X 光影像顯示胸腔縱膈腔區域有一條不透光導管 (Radiopaque catheter),其尖端/標記位於降主動脈 (Descending Aorta) 區域,約在氣管隆突 (Carina) 水平或稍下方(理想位置為左鎖骨下動脈開口遠端約 2 公分處)。
- 紅色箭頭所指之處即為 IABP 導管的遠端不透光標記 (Radiopaque tip marker)。
- 影像中並未見到左心室輔助器 (LVAD) 特有的大型幫浦機殼 (Pump housing) 或位於心尖處的流入管路。
- 解剖位置:導管走行於脊柱左側的降主動脈路徑上,符合 IABP 由股動脈 (Femoral artery) 逆行置入的路徑特徵。
選項分析:
- A: 紅色箭號所指裝置是左心室輔助器(LVAD)
- 錯誤。LVAD 在 X 光下通常會顯示一個位於左心室心
...(解析預覽)...

升級 VIP 解鎖圖文解析