110年:神經物治(1)
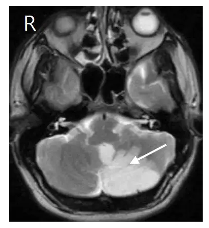
腦梗塞患者在 T2WI 核磁共振影像中發現如箭頭指出的白色陰影,患者最有可能會有下列那一種臨床症狀? 
A左側肢體運動失調
B右側肢體運動失調
C左側肌肉痙攣
D右側肌肉痙攣
詳細解析
本題觀念:
本題考查的核心觀念為小腦神經解剖學的側性(Laterality)與磁振造影(MRI)的判讀。具體重點如下:
- 影像判讀:在 MRI T2WI(T2加權影像)中,液體或水腫呈現高訊號(白色)。腦梗塞(Stroke)急性期因細胞毒性水腫,在 T2WI 上會呈現白色高訊號區。
- 神經解剖側性:小腦對身體動作的控制是同側性(Ipsilateral)的。這與大腦皮質的對側控制(Contralateral)不同。意即,左側小腦半球受損,會導致左側肢體的症狀。
- 小腦症狀:小腦損傷的主要臨床表現為運動失調(Ataxia)、協調變差、張力低下(Hypotonia)、意向性震顫(Intention tremor)等,而非痙攣(Spasticity)。
影像分析:
- 切面與加權:這是一張腦部**軸狀面(Axial view)**的 T2WI MRI 影像(腦脊髓液與病灶處呈現高亮白色)。
- 左右判別:
- 影像左上角標示了 "R",這代表影像的該側(左側)對應病人的右側(Right)。這是放射影像的標準慣例(如同從病人腳底往上看,影像左側=病人右側,影像右側=病人左側)。
- 白色箭頭指向影像的右半部,根據上
...(解析預覽)...

升級 VIP 解鎖圖文解析