110年:心兒物治(1)
有關下圖這位患者的物理治療介入,下列敘述何者正確? 
A運動目標心率為設定心率加 20 下
B應避免提重物或左肩向後伸展動作
C患者接受胸骨正中切開術,需 3 個月才會癒合
D患者不可以開車或從事水上活動
詳細解析
本題觀念:
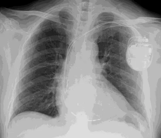
本題核心觀念為心臟植入式電子裝置(CIED)術後物理治療注意事項。 這類裝置(包含心臟節律器 Pacemaker 或植入式去顫器 ICD)通常植入於鎖骨下區域。術後早期的物理治療介入重點在於預防電極導線(Leads)移位,直到導線尖端與心內膜組織產生纖維化(fibrosis)固定為止(通常需 4-6 週)。
影像分析:
- 裝置識別:X 光影像顯示患者左側鎖骨下方(Left Infraclavicular area)植入有一具金屬外殼的電子裝置,且有導線(Leads)經由靜脈延伸至心臟腔室(右心房與右心室),可判斷為心臟節律器(Pacemaker)或植入式去顫器(ICD)。
- 手術切口暗示:裝置位於左胸皮下或胸肌下,未見胸骨鋼絲(Sternal wires),這排除了正中胸骨切開術(Median Sternotomy)的可能性。
- 解剖關聯:由於裝置與導線位於左側,術後患側(左側)上肢的活動限制是關鍵。
選項分析:
- A. 運動目標心率為設定心率加 20 下
- 分析:錯誤。對於裝有節律器的患者,目標心率的設定需考慮裝置的模式(固定頻率或頻率反應式)。
- 理由:
- 若為**固定頻率(Fixed-rat
...(解析預覽)...

升級 VIP 解鎖圖文解析