110年:(醫檢)血液(2)
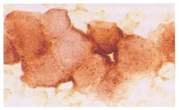
某一急性白血病的骨髓抹片, myeloperoxidase ( MPO ) stain 結果如圖①, nonspecific esterase ( NSE ) stain 結果如圖②,其最可能為下列何種疾病?

AAML M3
BAML M5
CALL L1
DALL L2
詳細解析
本題觀念:
本題考查急性白血病(Acute Leukemia)的細胞化學染色(Cytochemical Staining)鑑別診斷,特別是針對**髓性(Myeloid)與單核球性(Monocytic)**系列的區分。核心在於辨識 MPO(Myeloperoxidase) 與 NSE(Non-specific Esterase, specifically α-Naphthyl Acetate/Butyrate Esterase) 的染色特徵。
影像分析:
-
圖① Myeloperoxidase (MPO) stain:
- 觀察:細胞核呈紫色,細胞質中可見散在的藍黑色/深色顆粒。部分細胞有顆粒,部分細胞顆粒較少或不明顯。
- 意義:MPO 染色陽性代表細胞含有 Azurophilic granules,主要見於髓系細胞(Myeloblasts, Promyelocytes)。然而,圖中細胞的顆粒密度並未達到 AML M3(急性前骨髓細胞白血病)典型的「密集充滿(packed)」程度,顯示雖有髓系分化或部分陽性,但非強烈陽性的 M3 特徵。在 AML M5 中,Monoblasts 通常為 MPO 陰性或呈現微弱/細顆粒陽性。
-
**圖② Nonspecific Esterase (
...(解析預覽)...

升級 VIP 解鎖圖文解析