115年:放射診斷(1)
下圖影像的 window width (WW)及 window level (WL),最可能為下列那一選項? 
AWW:80、WL:40
BWW:2000、WL:600
CWW:500、WL:40
DWW:1500、WL:-600
詳細解析
本題觀念:
電腦斷層攝影(CT)影像的對比度與亮度主要由窗寬(Window Width, WW)與窗位(Window Level, WL)來決定。
- 窗位(WL):決定影像的中心亮度,通常設定在目標組織的平均亨氏單位(Hounsfield Unit, HU)附近。
- 窗寬(WW):決定影像的對比度。窗寬越窄,對比度越高;窗寬越寬,能容納顯示的組織種類越多,但細部對比會下降。
影像能呈現的 HU 值範圍公式為:
下限 = WL - (WW/2),上限 = WL + (WW/2)。低於下限的數值會呈現全黑,高於上限的數值會呈現全白。
影像分析:
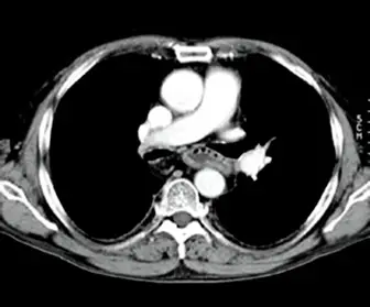
觀察題目提供的胸部 CT 橫斷面影像,具備以下特徵:
- 肺部實質(Lung parenchyma):呈現完全黑色,無法看見任何肺紋、血管或支氣管等細節,這代表肺部組織的 HU 值(約 -500 至 -900 HU)遠低於該影像窗寬的下限。
- 縱膈腔結構與軟組織(Mediastinum and soft tissues):縱膈腔內的大血管(升主動脈、降主動脈、肺動脈幹)因含有對比劑而呈現高亮。血管與周邊的縱膈腔脂肪、肌肉層之間具備極佳的灰階層次與對比度。
- 骨骼系統(Bones):肋骨、胸骨與脊椎呈現高亮度的全白,無法看清內部的骨小梁與骨髓腔細節,代表骨骼的 HU 值已超出該窗寬的上限。
綜合以上特徵,這是一張用來觀察胸部軟組織與心血管結構的標準**縱膈腔窗(Mediastinal window)**影像。
選項分析
- (A) WW: 80、WL: 40:此數值為典型的腦窗(Brain window)。其顯示範圍僅為 0 到 80 HU。若將此設定套用於胸腔,脂肪組織(-50 ~ -100 HU)會呈現全黑,而大多數軟組織與對比劑會呈現全白,影像對比會過於極端且充滿雜訊,不符合本圖特徵。
- (B) WW: 2000、WL: 600:此數值為典型的骨窗(Bone window)。其顯示範圍為 -400 到 1600 HU。在此設定下,可以清晰分辨骨皮質與骨小梁,但因為軟組織數值(約 40 HU)落在非常靠近灰階下限的位置,所有軟組織會糊成一團暗灰色,無法分辨縱膈腔的細微結構。
- (C) WW: 500、WL: 40:此數值為典型的縱膈腔窗(Mediastinal window)。其顯示範圍為 -210 到 290 HU。肺臟(-500 HU 以下)低於下限呈全黑;骨骼與含對比劑的血管(> 300 HU)高於上限呈全白;而縱膈腔脂肪、肌肉等軟組織(-100 到 60 HU)恰好落在灰階範圍的中心區間,能展現絕佳的軟組織對比。與影像特徵完全吻合。
- (D) WW: 1500、WL: -600:此數值為典型的肺窗(Lung window)。其顯示範圍為 -1350 到 150 HU。這種設定可以清晰呈現黑色的肺臟背景中的淺灰色肺紋與微小結節。但在肺窗下,縱膈腔與胸壁的軟組織會因為數值大多高於 150 HU 而呈現全白,無法分辨解剖層次。
答案解析
根據影像分析,我們清楚地看到具有良好灰階對比的縱膈腔軟組織、全白的骨骼以及全黑無細節的肺野。套用上述計算:只有選項 (C) 的設定範圍(-210 ~ 290 HU)能夠讓肺部組織低於下限(全黑),同時讓軟組織落在灰階漸層區間內完美顯示,因此 (C) 是最正確的答案。
核心知識點
醫事放射師在臨床執業與國家考試中,必須牢記各部位常規 CT 掃描的標準 WW/WL 設定參考值:
- 腦部 (Brain window): WW 80, WL 40
- 縱膈腔/腹部軟組織 (Mediastinal/Soft tissue window): WW 350-500, WL 40-50
- 肺部 (Lung window): WW 1500-2000, WL -500 ~ -700
- 骨骼 (Bone window): WW 1500-2000, WL 400-600
- 肝臟 (Liver window): 為了區分微小的肝實質病灶,通常會使用較窄的窗寬(如 WW 150, WL 30)。
參考資料
- Fundamentals Of Computed Tomography Studies: Windowing (https://www.stepwards.com/?page_id=21487)
- CT-Scans, DICOM files, Windowing Explained (https://www.kaggle.com/code/jhoward/cleaning-the-data-for-rapid-prototyping)
- CT Windowing Concepts (https://kevalnagda.github.io/ct-windowing)