115年:放射診斷(1)
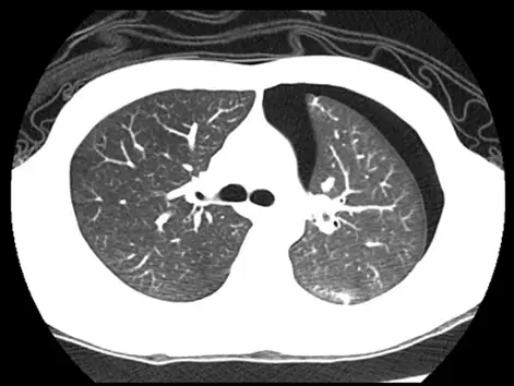
男性患者突然左胸痛,未施打顯影劑的胸腔電腦斷層在左肺旁發現異常(如下圖所示),最適當的診斷為何? 
A氣胸(pneumothorax )
B血胸(hemothorax )
C乳糜胸( chylothorax )
D連枷胸( flail chest )
詳細解析
本題觀念:
本題測驗考生對於胸部電腦斷層(Chest CT)中常見肋膜腔異常疾病的影像特徵辨識能力,特別是區分氣胸與其他肋膜腔積液(如血胸、乳糜胸)在影像密度與型態上的差異。
影像分析:
- 影像切面與窗位:這是一張非顯影劑注射的胸部電腦斷層(Non-contrast Chest CT)軸切面(Axial view)影像。影像採用「肺窗(Lung window)」設定,主要用於觀察肺實質(Lung parenchyma)與含氣構造。
- 異常發現:在左側胸腔(圖片右側,依放射學慣例)的肋膜腔內,可見一呈現新月形(Crescent-shaped)的「極低密度區(Hypodense area)」,其密度與體外空氣相當(CT值接近 -1000 HU),且呈現全黑狀態。
- 關鍵特徵:該極低密度區域內「完全沒有肺紋理(Lung markings)」(即無微血管、支氣管等構造)。
- 邊界特徵:在正常充氣的左肺實質與該無肺紋的黑色區域交界處,可以清晰看見一條細白的「臟層肋膜線(Visceral pleural line)」。左肺因受到外側空氣的壓迫,呈現部分塌陷(Collapse)且向內側退縮。這些徵象是氣胸(Pneumothorax)極為典型且明確的影像學表徵。
選項分析
- (A) 氣胸(Pneumothorax):正確。影像中左側肋膜腔內出現極低密度(空氣密度)且無肺紋理的空間,加上臟層肋膜線的顯現與肺臟的部分塌陷,與男性患者「突發性單側胸痛」的臨床症狀(常見於自發性氣胸)完全吻合。
- (B) 血胸(Hemothorax):錯誤。若為血胸,肋膜腔內會積聚血液。在 CT 影像上,血液呈現液體或軟組織密度(急性出血 CT 值通常落在 35-70 HU),在肺窗下不會是如空氣般的極低密度全黑影像,且通常會因為重力影響而分布在較低的位置(Dependent portion,如仰躺時的背側)。
- (C) 乳糜胸(Chylothorax):錯誤。乳糜胸是淋巴液(乳糜)積聚於肋膜腔,影像表現同樣為液體密度(Fluid density,通常 CT 值約在 0 附近或因富含脂肪略偏低),不會呈現如影像中空氣般的極度透亮狀態。
- (D) 連枷胸(Flail chest):錯誤。連枷胸的定義為相鄰的三根(含)以上肋骨各自有兩處(含)以上的骨折,導致胸壁出現不穩定的反常呼吸運動。雖然嚴重創傷的連枷胸可能併發氣胸,但本題影像中並未顯示多發性肋骨骨折(在骨窗/軟組織窗較易觀察,但在本圖中無此跡象),且題目明確指出「左肺旁的異常」為一片透亮的空間,故主要診斷為氣胸本身。
答案解析
綜合上述影像分析,患者左側胸腔內存在一大片沒有肺紋理的空氣密度區,並可見明顯的臟層肋膜線與受壓迫的肺組織,這明確指出肋膜腔內有不正常的空氣蓄積。配合年輕男性「突然左胸痛」的典型自發性氣胸(Spontaneous pneumothorax)臨床表現,影像學上呈現極低密度且無肺紋理的特徵,故最適當的診斷為 (A) 氣胸。血胸與乳糜胸皆屬液體積聚,CT 密度表現與本圖完全不符;連枷胸則為胸壁骨骼損傷的特有表現,非單純的肋膜腔異常。
核心知識點
- 胸部 CT 窗位設定與判讀:在肺窗(Lung window,通常 Window Width 約 1500 HU,Window Level 約 -500 到 -600 HU)下,空氣呈現極致的黑色,非常適合用來銳利地對比出正常肺紋理與氣胸的臟層肋膜線。
- 氣胸的典型影像徵象:肋膜腔內出現無肺紋理的極低密度區(空氣)、清楚可見的邊界線(臟層肋膜線,Visceral pleural line)、受壓迫塌陷的肺組織。
- 肋膜積液密度的鑑別(Hounsfield Unit, HU):
- 氣胸:空氣密度,約 -1000 HU。
- 一般胸水/乳糜胸:液體密度,約 0-15 HU。
- 急性血胸:因含有血餅與蛋白質,密度較高,約 35-70 HU。
臨床重要性
氣胸(特別是張力性氣胸)為臨床常見之急症。快速且精準地透過醫學影像辨識出氣胸的位置與嚴重範圍,對於後續決定是否需緊急進行胸管引流(Tube thoracostomy)有著決定性的影響。身為醫事放射師,準確提供並確認最佳影像窗位,能大幅提升臨床醫師診斷的效率。