115年:放射診斷(1)
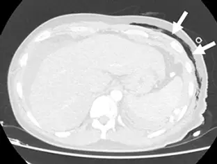
外傷病人的電腦斷層腹部影像如附圖,箭號所指最可能為下列何者? 
A氣胸(pneumothorax )
B氣腹(pneumoperitoneum )
C皮下氣腫( subcutaneous emphysema )
D後腹腔積氣( pneumoretroperitoneum )
詳細解析
本題觀念:
此題考驗醫事放射師對創傷病患電腦斷層(CT)影像中「異常氣體分佈解剖位置」的判讀能力。人體在受到創傷後,氣體可能因器官或組織破裂而溢出,並蓄積於不同的解剖腔室或組織層中。精準辨識異常氣體所在的解剖位置(如胸腔、腹膜腔、後腹腔或皮下組織),是放射線學影像診斷的核心基礎。
影像分析:
本題提供一張腹部/下胸部的無顯影劑電腦斷層橫切面影像(採用軟組織窗設定)。
- 解剖構造:影像左側(病患右側)可見肝臟實質,中央可見脊椎與其前方的主動脈,外圍環繞著肋骨與體壁肌肉層。
- 病灶特徵:白色箭號指向病患左側(影像右側)的前外側體壁。該處可見呈現黑色(極低衰減值,與空氣密度相符)的氣體聚積。
- 空間定位:觀察這些氣體黑影的分佈,它們明確位於「肋骨與體壁肌肉層之外」的**皮下脂肪層(subcutaneous fat layer)**之中,呈現不規則的條索狀與氣泡狀透亮區。這些氣體並未進入胸骨內側的胸腔,也沒有進入腹壁肌肉深處的腹腔。
- 綜合判斷:基於氣體所在的表淺解剖位置與密度特徵,此為典型的「皮下氣腫」表現。
選項分析
- A. 氣胸(pneumothorax):氣胸是指氣體蓄積於肋膜腔(胸壁與肺臟之間)。在 CT 影像上,氣胸的空氣會出現在肋骨內側的胸腔空間中,而非體壁外側的皮下組織內。
- B. 氣腹(pneumoperitoneum):氣腹是指氣體蓄積於腹膜腔內。游離氣體多見於肝臟前方、胃部周圍或橫膈下等腹腔內部空間,位於腹壁肌肉層的深部。影像中的氣體位置不符合腹膜腔的解剖構造。
- C. 皮下氣腫(subcutaneous emphysema):指氣體不正常地積聚於皮下組織(皮膚與肌肉層之間的皮下脂肪層)。影像中箭號明確指向肌肉層外部的皮下組織內的游離氣體,完全符合皮下氣腫的影像特徵。
- D. 後腹腔積氣(pneumoretroperitoneum):後腹腔積氣是指氣體出現在腹腔後方的後腹腔空間(例如腎臟周圍、十二指腸後方、大血管旁)。箭號所指位置為前外側的淺層皮下組織,並非後腹腔。
答案解析
根據影像的解剖構造分析,箭號所指的低密度(空氣密度)區域明確位於病患左前外側的皮下脂肪層內,處於骨骼及肌肉構造的表淺處。該氣體並未進入胸腔內部(排除氣胸)、未進入腹膜腔內(排除氣腹),也未處於後方深處的後腹腔(排除後腹腔積氣)。因此,最符合的診斷為皮下氣腫(subcutaneous emphysema),正確答案為 C。
核心知識點
在創傷病患的電腦斷層影像評估中,異常游離氣體(free air)的判讀需嚴格對應其解剖位置:
- 皮下氣腫(Subcutaneous emphysema):氣體位於皮下組織層,常因氣胸、氣管破裂或穿透性創傷,使空氣沿著筋膜間隙竄出體壁所致。
- 氣胸(Pneumothorax):氣體位於壁層與臟層肋膜之間的肋膜腔。
- 氣腹(Pneumoperitoneum):氣體位於腹膜腔,常見於中空器官(如胃、小腸)破裂。
- 後腹腔積氣(Pneumoretroperitoneum):氣體位於後腹腔,暗示後腹腔器官(如十二指腸二、三段,或升/降結腸)受損破裂。
臨床重要性
皮下氣腫本身大多會由人體自行吸收且無立即致命危險,但其存在強烈暗示著潛在的嚴重創傷(例如肋骨骨折合併氣胸、氣管或支氣管破裂等)。醫事放射師在執行創傷攝影時,若在定位圖(scout image)或初期影像中發現大範圍皮下氣腫,應提高警覺,確認掃描範圍是否足以讓醫師追蹤氣體的來源(如涵蓋完整的頸胸交界處或下頸部),以協助找出氣道或胸壁損傷的確切位置。
參考資料
- Paciga, E. (2020). Use of CT to Diagnose Subcutaneous Emphysema (SE). (https://commons.nmu.edu/cgi/viewcontent.cgi?article=1687&context=isou)