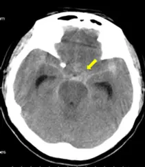
下圖箭號所指出血位置為何? 
詳細解析
本題觀念:
本題旨在測驗醫事放射師對於大腦「顱內出血 (Intracranial Hemorrhage, ICH)」不同解剖位置的電腦斷層 (CT) 影像判讀能力。顱內出血根據出血位置相對於腦膜的層次與腦實質,主要分為:硬膜外腔出血 (EDH)、硬膜下腔出血 (SDH)、蛛網膜下腔出血 (SAH)、腦實質出血 (IPH) 以及腦室出血 (IVH)。能準確分辨出血位置,對於後續判斷潛在病因 (如創傷、動脈瘤破裂等) 與臨床處置方向至關重要。
影像分析:
觀察提供的無顯影劑腦部電腦斷層 (Non-contrast Head CT) 影像,可見箭號指向的異常高密度 (hyperdense,即呈現白色影像) 訊號。這些出血訊號並未形成緊貼顱骨內緣的明顯半圓形或雙凸形團塊,而是呈現不規則形狀,順著大腦皮質的輪廓,填滿了腦溝 (Sulci)、腦裂 (Fissures,如外側裂 Sylvian fissure) 或是腦基底池 (Basal cisterns) 的空間。這種血液如同樹枝狀或星狀散佈於腦部表面皺褶內的視覺特徵,代表血液積聚於蜘蛛網膜與軟腦膜之間的空間,為典型「蛛網膜下腔出血」的影像學發現。
選項分析
- A. 硬膜下腔出血 (Subdural hemorrhage, SDH): 血液積聚於硬腦膜與蜘蛛網膜之間,常見於橋靜脈 (bridging veins) 斷裂。在 CT 影像上典型呈現**「新月形」(Crescent-shaped)**。它可跨越顱骨骨縫 (suture lines),但不會跨越硬腦膜的反摺處 (如大腦鐮 Falx cerebri 或小腦天幕 Tentorium cerebelli)。與本圖中沿著腦溝分佈的特徵不符。
- B. 硬膜外腔出血 (Epidural hemorrhage, EDH): 血液積聚於顱骨與硬腦膜之間,常因頭部外傷導致中腦膜動脈 (middle meningeal artery) 破裂所致。在 CT 上典型呈現**「雙凸透鏡狀」(Biconvex / Lentiform)**。出血範圍通常會受到顱骨骨縫的限制而無法跨越。與本題影像特徵不符。
- C. 蛛網膜下腔出血 (Subarachnoid hemorrhage, SAH): 血液積聚於蜘蛛網膜與軟腦膜之間的空間 (即充滿腦脊髓液的空間)。在 CT 上表現為高密度訊號瀰漫性地填滿腦溝、腦裂及腦池。與本題箭號所指的影像特徵完全吻合,為正確選項。
- D. 腦室出血 (Intraventricular hemorrhage, IVH): 血液直接積聚或流注於腦室系統 (如側腦室、第三或第四腦室) 內部。影像上會看到腦室內部有高密度血塊,甚至可能出現血液與腦脊髓液分層的液面現象 (fluid-blood level)。這與本題箭號指向皮質表面腦溝的表現不同。
答案解析
根據影像分析,出血位置位於腦膜的最內層空間,順著大腦的自然皺褶 (腦裂、腦溝與腦池) 蔓延,此解剖位置即為蛛網膜下腔。這與硬膜外腔、硬膜下腔於顱骨內緣形成的局部佔位性血腫 (Mass effect) 外觀截然不同,且並未侷限於腦室腔內。綜合解剖位置與典型影像特徵,故最佳解答為 (C) 蛛網膜下腔出血。
核心知識點
身為醫事放射師,必須熟記四大類顱內出血的典型 CT 特徵及關鍵差異:
- 硬膜外腔出血 (EDH):雙凸透鏡狀 (Biconvex),不跨過骨縫。最常由中腦膜動脈破裂引起。
- 硬膜下腔出血 (SDH):新月形 (Crescent),可跨越骨縫,但不跨越大腦鐮。常由橋靜脈撕裂引起。
- 蛛網膜下腔出血 (SAH):高密度訊號沿腦溝 (Sulci)、外側裂 (Sylvian fissure) 及基底池 (Basal cisterns) 分佈。
- 腦室出血 (IVH):高密度訊號位於側室、第三或第四腦室內部。
臨床重要性
蛛網膜下腔出血 (SAH) 可分為外傷性與自發性。自發性 SAH 中約有 85% 是由顱內動脈瘤 (Intracranial aneurysm) 破裂所引起。臨床表現常為突發性且極度劇烈的「雷擊樣頭痛 (Thunderclap headache)」。當在無顯影劑 CT (NCCT) 上確診 SAH 後,醫事放射師通常需立即配合執行腦部電腦斷層血管攝影 (CTA) 或是數位減影血管攝影 (DSA),以協助臨床醫師盡速找出破裂的動脈瘤位置,避免發生致命性的再出血 (Rebleeding) 或血管痙攣 (Vasospasm) 等嚴重併發症。
參考資料
- Non-traumatic Intracranial Hemorrhage - The Radiology Assistant (https://radiologyassistant.nl/neuroradiology/hemorrhage/non-traumatic-intracranial-hemorrhage)
- Intracranial Hemorrhage Overview - StatPearls - NCBI Bookshelf (https://www.ncbi.nlm.nih.gov/books/NBK470242/)