115年:放射診斷(1)
承上題【下圖箭號所指出血位置為何?】,下列何者非適當的進一步檢查? 
ACT angiography
BMR angiography
Ccatheter angiography
DRBC scan for bleeding point
詳細解析
本題觀念:
此題考驗醫事放射師對於「自發性蜘蛛膜下腔出血(Subarachnoid Hemorrhage, SAH)」之影像表徵的辨識能力,以及針對此類急症後續尋找出血源(通常為顱內動脈瘤)的適當放射線與分子影像檢查流程。
影像分析:
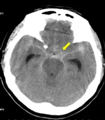
本題附圖為無顯影劑的腦部電腦斷層(Non-contrast Head CT)軸切面影像。圖中黃色箭號指出的位置為基底腦池(Basal cisterns)與左側外側裂(Sylvian fissure)周圍,可見明顯的高密度(Hyperdense)物質沉積。在無顯影劑的 CT 影像中,腦脊髓液所在的蜘蛛膜下腔若出現高密度訊號,即為典型的**急性蜘蛛膜下腔出血(Acute Subarachnoid Hemorrhage, SAH)**表現。此類出血最常見的非外傷性原因為顱內動脈瘤破裂(Ruptured intracranial aneurysm)。
選項分析
- A. CT angiography (電腦斷層血管攝影):適當。發生 SAH 後,尋找出血來源的首要之務便是檢視顱內血管。CTA 是目前臨床上的第一線非侵入性血管檢查,能利用顯影劑快速且精確地描繪出顱內血管的 3D 構造,以確認是否有動脈瘤破裂或動靜脈畸形。
- B. MR angiography (磁振血管造影):適當。MRA 同樣是一種非侵入性的血管攝影技術,利用血液流動的物理特性(如 Time-of-Flight, TOF)不需打藥即可成像,或輔以顯影劑顯影。雖然在急診急性期為了時效性通常優先執行 CTA,但 MRA 仍是診斷顱內血管異常的標準檢查之一,特別適合對碘顯影劑過敏的患者。
- C. catheter angiography (導管血管攝影):適當。即數位減影血管攝影(Digital Subtraction Angiography, DSA),是診斷顱內動脈瘤與血管動靜脈畸形的「黃金標準(Gold standard)」。若 CTA 無法確診,或是準備進行血管內動脈瘤栓塞治療(Endovascular embolization)時,臨床上必須進行此項檢查。
- D. RBC scan for bleeding point (紅血球造影尋找出血點):不適當。RBC scan(Tc-99m 標記紅血球造影)為核子醫學科的常規檢查,其臨床適應症主要是用來尋找不明原因的腸胃道出血(Gastrointestinal bleeding),或是用於鑑別診斷肝臟血管瘤(Hepatic hemangioma)。顱內血管(如動脈瘤)的評估需要極高的空間解析度,而核醫 RBC scan 的空間解析度不足,且腦部出血的血液動力學特性並不適合此項檢查,因此 RBC scan 絕對不會用來尋找 SAH 的出血源。
答案解析
根據影像判斷為蜘蛛膜下腔出血(SAH)後,臨床處置的核心在於迅速找到出血源(如動脈瘤),以盡快介入治療並預防極度致命的再次破裂出血。要達成這個目的,必須依賴具有高空間解析度且能清晰勾勒腦血管解剖構造的影像技術。選項中的 CT angiography、MR angiography 以及 catheter angiography 皆為符合現行醫學指引的腦血管檢查工具。
相反地,選項 (D) RBC scan 屬於功能性核醫造影,專門用於偵測血流速度較慢、微量且斷斷續續的腸胃道出血,無法呈現大腦動脈瘤等微小血管結構。因此,它絕非 SAH 後續適當的進一步檢查。故正確答案為 D。
核心知識點
- SAH 的 CT 影像特徵:蜘蛛膜下腔(包含基底腦池、外側裂、大腦鐮、大腦迴溝等)出現異常的高密度(Hyperdense)血液訊號。
- SAH 的後續黃金檢查(腦血管攝影):
- CTA:急診第一線非侵入性檢查,耗時極短且準確度高。
- DSA(Catheter angiography):空間解析度最高的黃金標準,且能同時進行診斷與介入性栓塞治療。
- MRA:無游離輻射,多用於碘顯影劑禁忌症患者或門診常規篩檢。
- RBC Scan(Tc-99m RBC scintigraphy)的臨床應用:應牢記其主要用於**消化道出血(GI bleeding)**的定位,以及鑑別肝臟海綿狀血管瘤。
參考資料
- Top Things to Know: 2023 Aneurysmal Subarachnoid Hemorrhage Guideline (American Heart Association)
- Guidelines for the Management of Aneurysmal Subarachnoid Hemorrhage
- A Practical Guide to Clinical Laboratory Medicine and Diagnostic Imaging