115年:放射診斷(1)
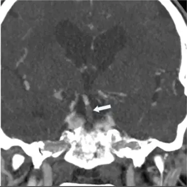
60歲男性,臨床表現為言語困難和步態不穩。下圖CTA影像中箭頭所指為何種狀況? 
A大腦前動脈栓塞( occlusion of the anterior cerebral artery )
B頸腦動脈栓塞( occlusion of the carotid cerebral artery )
C大腦中動脈栓塞( occlusion of the middle cerebral artery )
D基底動脈栓塞( occlusion of the basilar artery )
詳細解析
本題觀念:
急性缺血性腦中風 (Acute Ischemic Stroke) 之血管影像解剖學與臨床症狀的對應。本題主要測驗醫事放射師是否能透過電腦斷層血管攝影 (CT Angiography, CTA) 準確辨識後循環 (posterior circulation) 系統的血管解剖構造,以及基底動脈栓塞 (Basilar Artery Occlusion, BAO) 的典型影像特徵。
影像分析:
- 影像掃描技術:此為一張腦部電腦斷層血管攝影 (CT Angiography, CTA) 的冠狀面重組 (Coronal view) 影像。
- 解剖結構與病灶位置:
- 影像正中央的最底部為顱底 (Skull base) 與枕骨斜坡 (Clivus) 結構。
- 在腦幹 (特別是橋腦 Pons) 的前方(即橋腦前池 Prepontine cistern),可以觀察到一條沿著正中線垂直向上行走的單一粗大血管,此即為「基底動脈 (Basilar artery)」。
- 白色箭頭所指處:清楚顯示基底動脈管腔內出現了顯著的對比劑充盈缺損 (filling defect) 與血管截斷 (abrupt cutoff) 現象。正常且血流暢通的血管在 CTA 上應呈現連續的亮白高密度影像,然而箭頭處呈現一段低密度暗區,代表該段血管被血栓 (thrombus) 或栓子 (embolus) 所填塞,阻斷了血流。
- 綜合上述,此影像呈現了極為典型的「基底動脈栓塞」。
選項分析
- A. 大腦前動脈栓塞( occlusion of the anterior cerebral artery ):大腦前動脈 (ACA) 主要位於大腦縱裂 (Interhemispheric fissure) 內,緊貼著胼胝體向上向後延伸,供應大腦半球內側。其影像解剖位置在較上方的大腦中線,而非大腦底部的腦幹前方。臨床表現以對側下肢無力為主。
- B. 頸腦動脈栓塞( occlusion of the carotid cerebral artery ):此處應指內頸動脈 (Internal Carotid Artery, ICA)。內頸動脈為成對結構,位於兩側的海綿竇 (Cavernous sinus) 及顳葉內側旁,並不會在正中線上單一出現。其阻塞通常導致大範圍的前循環大血管中風症狀。
- C. 大腦中動脈栓塞( occlusion of the middle cerebral artery ):大腦中動脈 (MCA) 從內頸動脈分支出來後,會走向外側進入外側溝 (Sylvian fissure),供應大腦半球外側廣大區域。在冠狀面 CTA 上,MCA 會從兩側向外橫向延伸,與圖中沿正中線垂直上行的血管特徵完全不符。
- D. 基底動脈栓塞( occlusion of the basilar artery ):正確。基底動脈是由兩側椎動脈 (Vertebral arteries) 匯集而成,位於正中線並貼附於橋腦前方。其主要供應腦幹、小腦及枕葉。當發生阻塞時,會引起後循環缺血,直接導致顱神經與小腦功能受損,產生步態不穩與言語困難等症狀。本選項完全符合影像特徵與臨床表現。
答案解析
本題解答可由「臨床症狀」與「影像解剖學」雙管齊下進行推理:
- 臨床症狀推導:患者以「言語困難 (dysarthria)」與「步態不穩 (ataxia)」為主要表現。這兩種症狀是典型的小腦與腦幹受損表徵,屬於「後循環 (posterior circulation)」缺血的範疇。若是前循環 (如 MCA、ACA) 中風,通常表現為單側肢體偏癱 (Hemiparesis) 或皮質功能異常 (如失語症 Aphasia,而非單純的構音/言語困難)。
- 影像解剖驗證:在 CTA 的冠狀切面中,白色箭頭所指的血管位於顱底正中央、腦幹前方,這正是基底動脈 (Basilar artery) 的專屬解剖位置。箭頭處明確標示出血管腔內的充盈缺損 (filling defect),證實了血栓阻塞的存在。 結合上述兩點,無庸置疑地可以確立診斷為基底動脈栓塞 (Basilar Artery Occlusion),因此最正確的答案為 D。
核心知識點
- 腦部 CTA 冠狀面解剖辨識:
- 正中線、腦幹前方垂直血管:基底動脈 (Basilar artery)。
- 大腦正中縱裂內血管:大腦前動脈 (ACA)。
- 向大腦兩側外側溝延伸之血管:大腦中動脈 (MCA)。
- 前/後循環中風症狀差異:
- 前循環 (ACA, MCA, ICA):肢體偏癱 (MCA 手與臉較嚴重;ACA 下肢較嚴重)、失語症 (Aphasia)、半側忽略症 (Hemineglect)。
- 後循環 (Vertebrobasilar system):暈眩 (Vertigo)、步態不穩/共濟失調 (Ataxia)、言語困難/構音障礙 (Dysarthria)、吞嚥困難 (Dysphagia)、複視 (Diplopia)、眼震 (Nystagmus),嚴重者會出現意識改變或閉鎖症候群 (Locked-in syndrome)。
臨床重要性
基底動脈栓塞 (BAO) 是一種死亡率和重殘率極高的神經科急症。由於其供應腦幹這個生命中樞,若未能及時打通血管,患者極可能進展為四肢癱瘓、昏迷甚至死亡。在現行急性腦中風處置中,對於大血管阻塞 (Large Vessel Occlusion, LVO),第一線放射師能否快速且精準地完成 CTA 掃描並重組影像以凸顯阻塞位置 (如 MIP 影像),對於幫助急診與神經內外科醫師及時決定是否啟動動脈取栓術 (Endovascular Thrombectomy, EVT) 具備高度的臨床影響力。