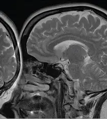
腦部的磁振影像如下圖,出現了後腦勺干擾腦部的影像,若要消除此一干擾,應如何修改掃描參數? 
詳細解析
本題觀念:
磁振造影(MRI)中的假影辨識與參數調整。本題測驗的核心觀念為「反摺假影」(Aliasing artifact 或 Wrap-around artifact)的成因與消除方法。
影像分析:
觀察題目提供的腦部磁振造影(MRI)矢狀切面(Sagittal view,為 T2-weighted image)影像,可以發現一個非常明顯的異常:在影像的左側(病人臉部前方、額頭與鼻子前方),出現了原本應該位於病人後腦勺(枕部,occipital region)的腦組織與頭骨影像。這種解剖構造超出影像邊界後,從另一側「摺疊」重疊進入畫面中的現象,是極為典型的反摺假影(Wrap-around / Aliasing artifact)。
選項分析
- (A) 增加 field of view:正確。反摺假影的成因在於所設定的視野(Field of View, FOV)小於實際接收到訊號的身體部位尺寸。超出 FOV 的組織在相位編碼(Phase encoding)時會產生大於 360 度或小於 0 度的相位移,系統會將其錯誤定位(mismapping)並反摺至影像的另一側。直接增加 FOV 使其包覆整個頭部,是消除此假影最基本且直接的方法。
- (B) 使用 spin echo sequence:錯誤。反摺假影是由空間編碼(特別是取樣不足)所引起,與使用 Spin echo 或 Gradient echo 等脈衝序列種類無關。更改序列無法消除反摺假影。
- (C) 使用 interleaved acquisition:錯誤。交錯擷取(Interleaved acquisition)主要用於多切面(Multi-slice)造影時,為避免相鄰切面因射頻脈衝干擾而產生「切面交互干擾假影(Cross-talk artifact)」所使用的技術,對消除平面內的空間反摺假影無效。
- (D) 去除病人頭部的金屬物質:錯誤。金屬物質會引起「磁化率假影(Magnetic susceptibility artifact)」,其影像特徵為局部的訊號排空(Signal void)以及周邊嚴重的幾何扭曲(Geometric distortion)和異常高亮邊緣,並非如本圖中呈現完整的解剖構造反摺。
答案解析
本題影像明確展示了後腦區域的組織訊號反摺疊加到臉部前方的現象,即反摺假影(Aliasing artifact)。在 MRI 的空間編碼中,依據奈奎斯特理論(Nyquist theorem),若取樣率不足以涵蓋整個受測物體(即 FOV 設定過小),視野外的訊號就會被錯誤對應到對側。由於頻率編碼(Frequency encoding)方向可以輕易透過硬體濾波器(Oversampling / Low-pass filter)消除視野外的訊號,因此現代 MRI 的反摺假影幾乎都發生在相位編碼(Phase encoding)方向。
要解決這個問題,最直接的參數修改就是增加 Field of View (FOV),將整個解剖構造納入視野中;雖然這可能會使空間解析度下降(若未同步增加 Matrix size),但在硬體參數調整上是絕對正確的方向。故最適當的選項為 (A)。
核心知識點
醫事放射師在臨床 MRI 操作中,必須熟記「反摺假影(Wrap-around / Aliasing artifact)」的消除策略:
- 增加 FOV(Increase Field of View):最直接,需注意可能導致空間解析度(Spatial resolution)降低。
- 相位過度取樣(Phase Oversampling / No Phase Wrap / Fold-over suppression):藉由增加相位編碼步數(增加掃描時間)同時增加 FOV,再將多餘的影像裁切掉,可在不犧牲解析度的情況下消除假影。
- 對調相位與頻率編碼方向(Swap Phase/Frequency encoding directions):將相位編碼方向設定在解剖構造較短的軸向上。
- 使用空間飽和帶(Spatial Presaturation bands):在 FOV 外放置飽和脈衝,將視野外的訊號消除,使其無法產生訊號反摺。
- 使用表面線圈(Surface coils):利用表面線圈接收範圍侷限的特性,自然排除 FOV 以外遠處組織的訊號。
參考資料
- Wrap-around artifact - Questions and Answers in MRI. (https://mriquestions.com/wrap-around-artifact.html)
- Aliasing Artifact - MR-TIP.com. (https://www.mr-tip.com/serv1.php?type=art&sub=Aliasing%20Artifact)
- Aliasing or Wrap-Around Artifact in MRI: Causes and Remedies - Radiology Learners.