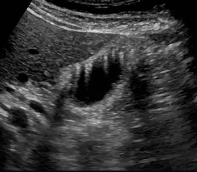
下圖膽囊超音波檢查,在膽囊呈現多條線狀高回音,為下列何種假影(artifact )? 
詳細解析
影像分析:
本題提供了一張膽囊(gallbladder)的超音波掃描影像。在影像中,可以清楚觀察到膽囊壁有局部增厚的現象,並且從增厚的膽囊壁向著無回音(anechoic)的膽囊腔內部,延伸出多條呈現倒三角形、明亮的線狀高回音(hyperechoic linear echoes)。這些高回音訊號呈現上寬下窄的漸弱形狀,且訊號條紋間距極短,這是非常典型的「彗星尾假影」(comet tail artifact)。在臨床膽囊超音波掃描中,這種影像特徵常見於膽囊腺肌瘤症(adenomyomatosis),其主要成因為膽囊壁內擴張的 Rokitansky-Aschoff sinuses 中沉積了微小且具高反射性的膽固醇結晶(cholesterol crystals)所引起。
本題觀念:
本題測驗放射師對於超音波成像中常見假影(artifacts)之物理機制與影像特徵的辨識能力。超音波假影的產生,源於超音波儀器預設聲波在組織中依直線行進、且只發生一次反射的假設遭到破壞。理解並正確辨識這些假影,不僅能避免將其誤認為實質病灶,更能將特定假影轉化為協助診斷特定疾病(例如:藉由彗星尾假影診斷膽囊良性病變)的關鍵線索。
選項分析
- (A) comet tail (reverberation) artifact:正確。彗星尾假影屬於迴響假影(reverberation artifact)的一種特殊形式。當超音波波束遇到極微小且相距極近的強反射介面(如膽固醇結晶)時,聲波會在這些介面之間發生多次來回反射。超音波儀器將這些延遲接收到的回音誤判為來自更深處的組織,從而在真實反射物體後方,產生一連串間距極窄、因能量衰減而呈現倒三角形的連續高回音線條,完全符合題目影像與題幹「多條線狀高回音」的描述。
- (B) mirror image artifact:鏡像假影的成因是超音波遇到大面積強反射面(例如橫膈膜)時,聲波先反射至前方的真實結構(例如肝臟腫瘤)再反彈回強反射面,最後才回到探頭。儀器會因為接收時間延長,在強反射面後方(深處)產生一個與真實物體對稱的虛擬影像。這在影像上會呈現出具體的解剖構造倒影,而非多條線狀的高回音。
- (C) shadowing:聲影(acoustic shadowing)發生在超音波遇到強反射或高衰減物體(如膽結石、骨骼或鈣化)時。由於大部分聲波被反射或吸收,導致物體後方的組織無法接收到超音波能量,從而在影像上呈現出帶狀的「無回音(anechoic)」或「低回音(hypoechoic)」暗帶。題目描述為「高回音(hyperechoic)」,因此不選此項。
- (D) grating lobe artifact:柵狀瓣假影(與旁瓣假影 side lobe artifact 類似)發生於陣列探頭。當偏離中心主波束的旁側能量瓣遇到強反射體時,這些弱反射訊號會被接收,且儀器會誤以為這些回音來自於中心主波束的方向。這常導致在無回音的囊狀構造(如膽囊腔或膀胱內)出現霧狀或弧形的微弱假回音,不會呈現出影像中如此清晰、邊緣銳利且從壁上垂直延伸的線狀高回音。
答案解析
綜合上述影像特徵與超音波物理機制,影像中從膽囊壁向腔內放射的「多條線狀高回音」確切符合 comet tail artifact 的定義。在膽囊超音波檢查中,這種特徵是聲波在膽固醇結晶內部發生微小迴響(reverberation)的結果。由於其他選項的物理機制與影像表現皆與本題圖片完全不同,因此 (A) 為唯一正確且最佳的答案。
核心知識點
準備超音波假影相關考題時,請熟記以下區分:
- Comet tail artifact(彗星尾假影):為 reverberation artifact 的特例。成因為兩層極度靠近的強反射介面造成的反覆來回反射,影像特徵為一連串緊密的亮線,隨深度衰減成倒三角形。常見於膽囊膽固醇結晶。
- Ring-down artifact(振鈴假影):常與彗星尾假影混淆,但機制為流體液體內的氣泡(gas bubbles)受聲波激發產生共振,發射出連續聲波,影像呈現「不衰減」的長條狀高回音帶。
- 膽囊臨床特徵:在膽囊壁觀察到彗星尾假影,需直接連結至膽囊壁內的 Rokitansky-Aschoff sinuses 擴張並伴隨膽固醇結晶沉積,這是診斷 adenomyomatosis 的特異性超音波表徵。
臨床重要性
Comet tail artifact 在臨床肝膽超音波實務上具備極高的輔助診斷價值。當發現患者膽囊壁局部或瀰漫性增厚時,若能同時觀察到明顯的 comet tail artifact,臨床上即可將其高機率歸類為良性膽囊疾病(如膽囊腺肌瘤症),有助於與具惡性潛力的膽囊癌(gallbladder carcinoma)區別,進而優化患者的後續追蹤與治療策略。
參考資料
- Comet tail artifact on ultrasonography: is it a reliable finding of benign gallbladder diseases? (https://www.ncbi.nlm.nih.gov/pmc/articles/PMC6447333/)
- Comet-tail artifact - Global Ultrasound Institute (https://www.globalultrasoundinstitute.com/glossary/comet-tail-artifact/)
- Physical assumptions behind ultrasound artifacts - EPOS™ - ESR (https://epos.myesr.org/poster/esr/ecr2018/C-1943/Findings%20and%20procedure%20details)