115年:放射診斷(1)
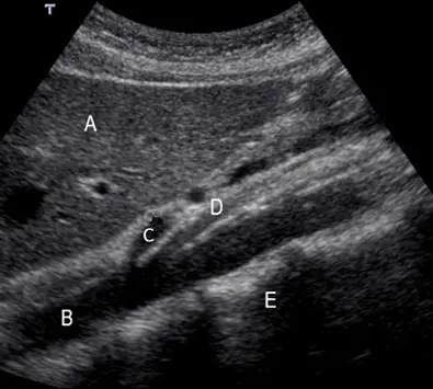
下圖為腹部中線超音波的縱向影像,編號C應為下列何者? 
Aaorta
Bceliac trunk
Cinferior vena cava (IVC)
Dsuperior mesenteric artery (SMA)
詳細解析
本題觀念:
本題測驗醫事放射師對腹部超音波正中線縱切面(sagittal / longitudinal view)解剖結構的辨識能力,重點在於評估腹部主動脈(abdominal aorta)及其主要前向分支的相對解剖位置。
影像分析:
本圖為腹部正中線的縱向超音波影像,掃描探頭位於劍突下(subxiphoid)並作縱切。根據解剖學位置與超音波特徵,影像中各編號代表的結構如下:
- 編號 A (Liver):為肝臟左葉(left lobe of liver),位於影像的最淺層(前方),呈現均勻的中等回音實質結構。
- 編號 B (Abdominal Aorta):為腹部主動脈,呈現為一條管壁較厚、具高回音且內部無回音(anechoic)的管狀結構,位於肝臟後方。
- 編號 C (Celiac Trunk):為腹部主動脈的第一個主要前向分支,即腹腔動脈幹。在此縱切面上,它在橫膈膜下方不遠處分出,角度較為垂直。
- 編號 D (Superior Mesenteric Artery, SMA):為腹大動脈的第二個主要前向分支,即上腸系膜動脈。它緊接在腹腔動脈幹下方(約 1 公分處)分出,並以銳角與腹大動脈平行向遠端(尾側)延伸。
- 編號 E (Spine):為脊椎(椎體),位於腹大動脈的後方,表現為表面呈強回音(hyperechoic)且伴隨後方聲影(acoustic shadowing)的結構。
選項分析
- (A) aorta:錯誤。對應影像中的編號 B。腹部主動脈是整條縱向延伸的主幹血管。
- (B) celiac trunk:正確。對應影像中的編號 C。這是主動脈穿過橫膈膜進入腹腔後的第一個主要前向分支。
- (C) inferior vena cava (IVC):錯誤。下腔靜脈(IVC)位於脊椎的右前方,且管壁較薄。在縱切面上,IVC 的特徵為可見肝靜脈(hepatic veins)匯入,且會隨呼吸有管徑上的變化,不會出現如本圖中 celiac trunk 與 SMA 這樣平行的分支特徵。
- (D) superior mesenteric artery (SMA):錯誤。對應影像中的編號 D。SMA 是主動脈的第二個前分支,與主動脈平行走向是其在超音波下的典型特徵。
答案解析
在腹部正中線的縱向超音波掃描中,辨認血管結構的首要關鍵是觀察其分支型態。腹部主動脈(B)位於脊椎(E)前方,由頭側向尾側掃描時,最先看到的前向分支是腹腔動脈幹(Celiac trunk, 編號 C),緊接著在其下方分出並與主動脈平行走向的則是上腸系膜動脈(SMA, 編號 D)。由於題目特別詢問「編號C」,依據超音波解剖學特徵,C 確定為腹腔動脈幹。
核心知識點
對於醫事放射師而言,腹部大血管的超音波解剖學是基礎且核心的知識:
- 主動脈縱切面特徵:管壁厚、具高回音、有明顯搏動(pulsatility),位於脊椎前方。
- 分支辨識順序:
- 第一分支:Celiac trunk(常分為肝總動脈與脾動脈,在橫切面形成經典的「海鷗標誌 / seagull sign」)。
- 第二分支:SMA(在縱切面上呈現與 aorta 平行的「鐵軌狀」延伸,是重要的解剖標記)。
- Aorta 與 IVC 的鑑別:Aorta 位於偏左側,不隨呼吸改變管徑,具 celiac trunk 及 SMA 分支;IVC 位於偏右側,管壁薄,隨呼吸或 Valsalva 動作管徑變化大,並有肝靜脈匯入。
參考資料
- Aorta Ultrasound Made Easy: Step-By-Step Guide - POCUS 101 (https://www.pocus101.com/aorta-ultrasound-made-easy-step-by-step-guide/)
- Ultrasound for the Abdominal Aorta - PMC - NIH (https://www.ncbi.nlm.nih.gov/pmc/articles/PMC8445101/)
- Aorta — Ultra Sono (https://www.ultrasono.co/aorta)
- Abdominal aortic aneurysm (AAA) - NYSORA (https://www.nysora.com/techniques/point-of-care-ultrasound/abdominal-aortic-aneurysm-aaa/)
- Sonographic Abdominal Anatomy | Radiology Key (https://radiologykey.com/sonographic-abdominal-anatomy/)