114年:放射器材(2)
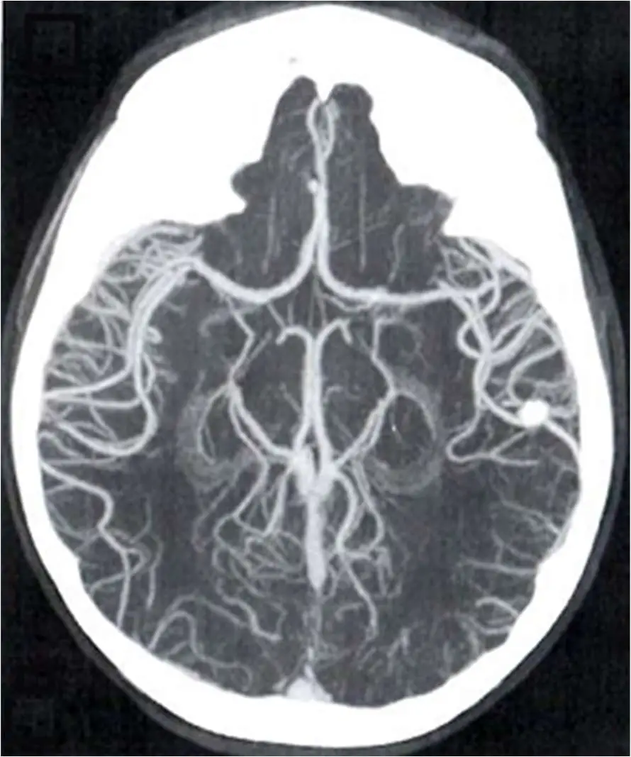
如圖是利用下列何者 3D影像重建技術? 
Amulti-planar reformation(MPR)
Bmaximum intensity projection(MIP)
Cshaded surface display(SSD)
Dvolume rendering(VR)
詳細解析
本題觀念:
本題測驗醫學影像後處理(Image Post-processing)與 3D 重建技術的辨識,特別是針對血管攝影(Angiography)在電腦斷層(CT)或磁振造影(MRI)中的影像呈現方式及其運算原理。
影像分析:
圖片顯示為一張腦部的軸切面(Axial view)影像,可觀察到以下幾個關鍵特徵:
- 高信號/高密度結構突出:影像中頭部外圍的骨骼與腦部血管(如威利氏環、大腦中動脈 MCA 等分支)呈現極高的亮度。
- 結構重疊(Overlapping)與二維投影:不同深度的血管網絡在同一個平面上重疊顯示,使整體影像看起來類似傳統的血管攝影(Angiography),而非單一切層的斷面解剖。
- 缺乏深度感與立體陰影:雖然能看到豐富交織的血管樹,但影像呈現為「扁平」的 2D 投影,沒有 3D 立體模型特有的光影變化、透明度或立體深度感(Depth perception)。
- 背景組織抑制:周圍的腦實質(brain parenchyma)呈現較暗的灰色,與高亮度的血管及骨骼形成強烈對比。 以上特徵為「最大強度投影(Maximum Intensity Projection, MIP)」技術的典型影像表現。
選項分析
- (A) multi-planar reformation(MPR,多重平面重組):利用原始的橫斷面體積數據,重組出冠狀面(Coronal)、矢狀面(Sagittal)或任意斜面的 2D 影像。標準的 MPR 為單一切層(Thin slice),主要用於觀察解剖結構,不會呈現出如本題般完整且重疊交織的 3D 血管樹。
- (B) maximum intensity projection(MIP,最大強度投影):運算時沿著使用者的視線方向(ray path),僅選取穿過體積數據中「強度(CT number 或訊號)最大」的體素(voxel)來成像。此技術能有效凸顯含對比劑的血管或骨骼,並將不同深度的最高值投射在同一平面上。本題影像即為典型的 MIP 腦血管造影,缺乏深度感但血管對比較高。
- (C) shaded surface display(SSD,陰影表面顯示):需設定一個特定的閾值(threshold),僅重建出高於此閾值的等值表面(surface),並利用虛擬光源產生陰影。其影像外觀呈現如「塑膠模型」般的 3D 表面,且僅顯示物體外觀,無法觀察內部結構或真實的密度差異。
- (D) volume rendering(VR,體積渲染):為一種進階的 3D 重建技術,將體積內所有體素依據其密度或訊號強度賦予不同的顏色(color)及不透明度(opacity),並加入光影運算。VR 影像具有極佳的深度感與逼真的立體感,與本題平面的高亮度投影外觀完全不符。
答案解析
正確答案為 (B) maximum intensity projection(MIP)。 由提供的影像可觀察到,血管網絡雖然完整呈現,卻像被「壓扁」投影在一個二維平面上,缺乏 3D 空間的立體陰影與深度感。這正是 MIP 的運算原理:電腦沿著視角方向,只抓取並顯示最大強度的像素(即打入對比劑的血管與骨骼),而忽略並穿透較低強度的組織(如腦組織),因此被廣泛應用於 CT 血管攝影(CTA)及 MR 血管攝影(MRA)的影像呈現。
核心知識點
醫事放射師必須熟稔各種影像後處理技術的原理與臨床應用場景:
- MIP (Maximum Intensity Projection):取射線上最大值。最常用於血管造影(CTA、MRA)與尋找肺部微小結節。缺點為缺乏深度感,且較近的低密度血管可能會被較遠的高密度組織(如鈣化斑塊或骨骼)遮蔽。
- MinIP (Minimum Intensity Projection):取射線上最小值。常用於觀察低密度結構,例如氣管與支氣管樹(tracheobronchial tree)、膽管系統或評估肺氣腫(Emphysema)。
- VR (Volume Rendering):保留整體體積數據並給予不同組織特定的顏色與透明度,立體感極佳,為目前最常用的全面性 3D 解剖結構展示技術。
- SSD (Shaded Surface Display):早期技術,僅顯示高於閾值的表面,提供塑膠質感的立體外觀,目前已被 VR 技術大量取代。