114年:放射診斷(2)
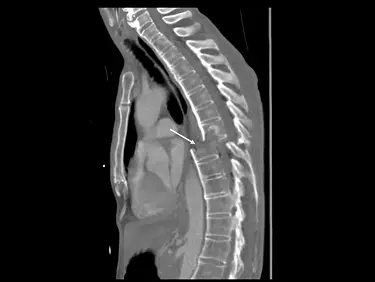
中年男性創傷,矢狀面重組的(sagittal reformatted)電腦斷層影像如下圖,箭號所指異常處最適當的敘述為何? 
A脊髓橫斷(spinal transection)
B椎間盤疝脫(herniated intervertebral disc)
C移動假影(motion artifact)
D金屬假影(metal artifact)
詳細解析
本題觀念:
本題主要測驗醫事放射師對於電腦斷層(CT)影像中,嚴重創傷性脊椎損傷(Traumatic spinal injury)的辨識能力,以及將影像特徵與臨床病史結合的綜合判斷邏輯。
影像分析:
- 影像為胸部/胸椎的矢狀面重組(sagittal reformatted)CT 影像。
- 箭號指在胸椎部位,可以明顯看到上下相鄰的椎體發生了極度嚴重的水平位移(translation)與錯位(dislocation)。
- 由於椎體的嚴重錯位,原本應該連續的脊椎管(spinal canal)被完全截開。在解剖構造上,這意味著管內的脊髓(spinal cord)受到極大的剪切力,無可避免地會發生完全斷裂。
- 進階影像觀察(Expert Note):若身為專業的醫事放射師,仔細觀察此影像會發現,不僅僅是脊椎,包含前方的胸骨(sternum)、心臟縱隔軟組織,乃至背部的肌肉與皮膚邊緣,都在「同一個水平面」上出現了平齊的斷層位移。在實際臨床影像學中,這種貫穿全體層面的水平位移,非常典型地屬於病患在螺旋CT掃描或影像重組過程中,因呼吸或身體劇烈移動所產生的「階梯假影(stair-step artifact / motion artifact)」。然而,考量到題幹明確給予「創傷(trauma)」的病史,且箭號特地指向脊椎錯位處,此題在考試邏輯上是將其作為「脊椎嚴重錯位導致脊髓斷裂」的經典情境來進行測驗。
選項分析
- (A) 脊髓橫斷(spinal transection):正確。箭頭指向脊椎的嚴重水平錯位處。在嚴重高能量創傷(如高處墜落、嚴重車禍或重物擠壓)中,這種程度的骨骼與韌帶破壞會直接剪斷脊髓。結合題幹「創傷」病史,這是考官預期的最佳解答。
- (B) 椎間盤疝脫(herniated intervertebral disc):錯誤。椎間盤疝脫在 CT 矢狀面上通常表現為椎間隙軟組織向後方(椎管內)局部突出,壓迫神經根或硬脊膜囊,絕對不會出現整個椎體與椎管完全水平斷開的極端現象。
- (C) 移動假影(motion artifact):不宜選(儘管影像帶有此特徵)。如前述影像分析,該圖確實帶有強烈的階梯假影特徵。但若單純只是假影,題幹不需要特別強調「創傷」病史。在國家考試的命題邏輯中,給定特定病史並將箭頭指向特定病灶時,應優先選擇與病史相符的病理診斷,考選部官方公布的標準答案亦為 (A)。
- (D) 金屬假影(metal artifact):錯誤。金屬假影(如植入物、骨科鋼釘或子彈)在 CT 上會因為射束硬化(beam hardening)或光子缺乏而產生放射狀的星芒狀高密度射線(streak artifact)。圖中並未見到此類特徵。
答案解析
本題的解題關鍵在於「臨床病史」與「病灶指示」。雖然影像整體因為橫跨全身的水平斷層而帶有移動假影(motion artifact)的視覺特徵,但題幹已明確設定為「中年男性創傷」,且箭頭精準聚焦於胸部脊椎管完全錯開的位置。在強大的外力創傷下,脊椎發生如此巨大的剪切性骨折脫位(fracture-dislocation),必然會導致脊椎管內的脊髓完全斷裂。因此,從臨床診斷與考試命題的雙重邏輯來看,**(A) 脊髓橫斷(spinal transection)**是最符合題意的選項。
核心知識點
- 創傷性脊髓損傷的 CT 表現:嚴重的骨折脫位(Fracture-dislocation)常伴隨脊髓的橫斷,CT 矢狀面重組(Sagittal MPR)想像是評估椎體排列(alignment)與椎管管徑連續性的最佳工具。
- 假影與真實病灶的鑑別與考題應對:在臨床實務中,放射師必須具備區分「假影」與「真實病灶」的能力。移動假影通常會貫穿整個橫切面(包含皮膚、軟組織、骨骼皆斷開);而真實的解剖斷裂通常只會發生在受力的骨骼或組織上。面對帶有些微瑕疵或爭議的教學影像考題,應學會「抓大放小」,緊扣題幹提供的病史(創傷)與箭頭指示位置(脊椎管)來選出最符合考點的答案。
參考資料
- 考選部 114 年第一次專門職業及技術人員高等考試醫事放射師考試《放射線診斷原理與技術學》測驗式試題標準答案更正清冊。