114年:放射診斷(2)
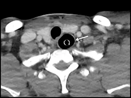
某人頭部創傷,到院前心跳停止(out-of-hospital cardiac arrest, OHCA),經心肺復甦術及氣管內管(endotracheal tube)插管治療後,接受電腦斷層檢查,下圖箭號處最適當的敘述為何? 
A食道插管(esophageal intubation)
B氣管狹窄(tracheal stenosis)
C食道破裂(esophageal perforation)
D正常插管後現象(normal postintubation phenomenon)
詳細解析
本題觀念:
本題測驗醫事放射師對於急診常見處置(氣管內管插管)在電腦斷層(CT)影像上之正確解剖位置的辨識能力,以及能否正確判斷插管併發症(管路錯位)。
影像分析:
觀察此張下頸部/上胸部橫斷面無顯影劑電腦斷層影像(Axial non-contrast CT):
- 氣管(Trachea):位於影像中央偏前方,呈圓形且充滿空氣(低密度黑影)的結構。正常情況下,若插管成功,氣管內管應位於此處。但在本圖中,氣管內部並無任何管狀結構。
- 食道(Esophagus):位於氣管後方、脊椎體前方,解剖上通常略偏左側。在正常情況下,食道多呈現塌陷的軟組織構造。然而,本圖中該處明顯被空氣撐開。
- 管路結構(Endotracheal tube):白色箭號所指處為一高密度(亮白)的完整環狀結構,內部與周圍皆包覆著空氣。這個環狀影像即為氣管內管(Endotracheal tube, ETT)的橫切面。
- 綜合判斷:氣管內管並未放置於前方的氣管內,而是錯置於後方的食道中,導致食道異常擴張,此為典型的「食道插管(Esophageal intubation)」影像表現。
選項分析
- (A) 食道插管(esophageal intubation):正確。由影像可清晰看見氣管內管(白色箭號指的環狀結構)位於氣管後方的食道腔內,而前方的氣管則是空無一物,為明確的食道插管證據。
- (B) 氣管狹窄(tracheal stenosis):錯誤。氣管狹窄在 CT 影像上會表現為氣管管腔的管徑異常縮小或變形。本圖前方的氣管空氣柱看起來管徑正常,並無狹窄跡象,且此選項無法解釋箭號所指位於食道內的管狀結構。
- (C) 食道破裂(esophageal perforation):錯誤。若是食道破裂,影像上通常會觀察到縱膈腔氣腫(Pneumomediastinum)、廣泛的頸部皮下氣腫,或是食道周圍有不明液體堆積。本圖中食道雖然充滿空氣,但空氣被侷限於管路內外及食道腔內,無明顯向外破裂至縱膈腔的跡象。
- (D) 正常插管後現象(normal postintubation phenomenon):錯誤。正常氣管插管的 CT 影像,氣管內管的高密度環狀結構必須位於「前方的氣管腔」內。本影像的管路位於後方結構(食道),屬於嚴重的醫療異常事件,非正常現象。
答案解析
在急救與困難呼吸道處置中,意外將氣管內管插入食道(Inadvertent esophageal intubation)是致命且必須立刻排除的併發症。從解剖學角度來看,氣管位於頸部前方,食道緊貼其後方。此 CT 影像精準捕捉到了氣管內管誤入食道的橫斷面:前方的氣管(Trachea)呈現空腔,無管路置入;後方的食道(Esophagus)則被管路與空氣異常撐開,箭號精準指在食道內的氣管內管管壁上。因此,最適當的敘述為食道插管。
核心知識點
- 橫斷面解剖相對位置:氣管(Trachea)在前,食道(Esophagus)在後。
- 氣管內管(ETT)的 CT 影像特徵:為一具有高密度管壁的圓環狀結構,正常應於氣管的空氣柱內正中央。
- 食道插管影像徵象:若在 CT 上發現氣管空無一物,且食道內出現環狀管路並伴隨食道或胃部異常大量積氣,即確診為管路錯置(Malposition)。
臨床重要性
對於 OHCA(到院前心跳停止)病患,建立穩定的呼吸道為急救首要步驟。若發生食道插管卻未及時由臨床理學檢查或二氧化碳監測儀(Capnography)發現,患者將面臨嚴重的缺氧。身為醫事放射師,若在執行 CT 掃描當下即時察覺管路位置異常,應具備高度警覺並立即通報醫療團隊(Critical test result reporting),以利盡速重新建立正確的呼吸道,挽救病患生命。
參考資料
- Radiographic detection of esophageal malpositioning of endotracheal tubes. AJR Am J Roentgenol. 1990;154(1):23-26. (URL: https://www.ajronline.org/doi/pdf/10.2214/ajr.154.1.2103738)
- Diagnostic Imaging: Critical Care. (Focusing on ETT malposition and imaging findings)