114年:放射診斷(2)
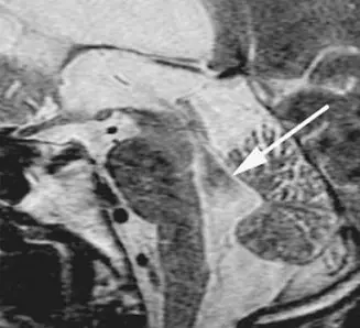
附圖中箭號所指示的暗灰色區域是下列何種現象產生的假影? 
Amotion artifact
Bchemical shift artifact
Cturbulent flow artifact
Dtruncation artifact
詳細解析
本題觀念:
本題考查磁振造影(MRI)中的流體動力學假影(Flow-related artifacts)以及腦脊髓液(Cerebrospinal fluid, CSF)的流動物理特性。
影像分析:
- 影像特徵與解剖構造:此圖為一張腦部正中矢狀面(mid-sagittal)的磁振造影 T2 加權影像(T2WI)。影像中可清晰辨識大腦皮質、中腦、橋腦、延腦等腦幹構造,以及後方的小腦。
- 異常信號表現:在 T2WI 中,靜止的腦脊髓液(如腦池內的液體)理應呈現高信號(亮白色)。然而,圖中白色箭頭所指的位置——即連接第三與第四腦室的大腦導水管(aqueduct of Sylvius)與第四腦室上半部——卻呈現一塊邊界不規則的暗灰色至黑色低信號區域。
- 物理意義:這種在 T2WI 上局部失去液體高信號的現象,是醫學影像中非常經典的「流動空洞」(flow void)徵象,主要起因於該處流體的快速且不規則流動。
選項分析
- (A) motion artifact(運動假影): 主要由病患身體移動(如吞嚥、呼吸、不自主晃動)引起。運動假影通常會在相位編碼方向(phase-encoding direction)上產生瀰漫性的平行條紋狀鬼影(ghosting)或造成整張影像模糊。圖中箭號所指為一局部且精確位於解剖通道內的暗區,並非運動假影的典型表現。
- (B) chemical shift artifact(化學位移假影): 發生於脂肪與水分子的交界面(例如腎臟周圍脂肪、視神經周圍)。由於脂肪與水的共振頻率不同(在 1.5T 磁場下相差約 220 Hz),會導致在頻率編碼方向上出現局部信號的空間錯位,表現為組織交界處一側出現黑色暗帶、另一側出現白色亮帶。大腦導水管內充滿 CSF,無明顯水脂交界面,故排除此選項。
- (C) turbulent flow artifact(紊流假影): 正確。大腦導水管是 CSF 通道中最狹窄處,液體在此處的流速最快,且受到心臟搏動週期的強烈影響,呈現強烈的脈動性。這種快速、多方向的流體運動會形成紊流(turbulent flow)。在 MRI 物理學中,同一體素(voxel)內的質子若具有多種不同的流速與方向,會導致嚴重的體素內相位失散(intravoxel dephasing),質子自旋相位相抵消而無法產生有效迴訊,最終在影像上形成暗黑色的無信號區。這即是流動空洞(flow void)產生的主因。
- (D) truncation artifact(截斷假影 / 亦稱 Gibbs artifact): 肇因於傅立葉轉換過程中對高頻空間訊號的取樣不足(矩陣設定太小)。通常出現在組織對比差異極大的邊界(如顱骨與腦膜、脊髓與 CSF 交界處),表現為與邊界平行的數條亮暗交替波紋(ringing)。這與圖中單一的暗色區塊特徵不符。
答案解析
本題測驗醫事放射師對於 MRI 特定假影機制的臨床判斷。箭頭所指區域為大腦導水管,在自旋迴訊(Spin Echo)或快速自旋迴訊(FSE/TSE)的 T2 加權序列中,CSF 在通過此狹窄區域時會產生快速的脈動與紊流(turbulent flow)。 流體在接受激發(excitation)與重聚(refocusing)射頻脈衝的時間差內發生了位置與相位的劇烈改變,同一體素內的質子經歷不同程度的磁場梯度變化,導致嚴重的體素內相位失散(intravoxel dephasing)。這種信號相消現象在影像上呈現出暗灰色的區域(flow void)。因此,該處的假影本質即為紊流假影(turbulent flow artifact),正確答案為 (C)。
核心知識點
- Flow Void Sign(流動空洞徵象):正常情況下,大腦導水管即可見到輕微的流動空洞,這可作為 CSF 通道暢通的間接證據。
- Intravoxel Dephasing(體素內相位失散):紊流(Turbulent flow)與渦流(Vortex flow)會使同一體素內包含多種速度與方向的自旋,導致相位發散、信號相消。
- 消除或應用:若要減少此種信號衰減,臨床會使用**流動補償(Flow compensation / Gradient moment nulling, GMN)**技術;若要將此特性用於量化 CSF 流速,則會採用相位對比磁振造影(Phase-Contrast MRI, PC-MRI)。
臨床重要性
觀察大腦導水管的流動空洞對於神經放射診斷極具臨床價值:
- 正常壓力性腦積水(Normal Pressure Hydrocephalus, NPH):患者因腦室順應性下降,導致 CSF 通過導水管時的脈動急遽增加,會出現範圍擴大且極度明顯的高動力型流動空洞(hyperdynamic flow void),這是支持 NPH 診斷的重要影像標記。
- 大腦導水管狹窄(Aqueductal Stenosis, AS):若導水管阻塞,CSF 停止流動,該處的流動空洞將會消失,在 T2WI 上導水管會呈現與靜止液體相同的均勻亮白高信號。
參考資料
- Normal MRI Appearance and Motion-Related Phenomena of CSF - AJR (https://vertexaisearch.cloud.google.com/grounding-api-redirect/AUZIYQHZQ4ockclMu6ivR4DCZCNUYdm6TbOkhlO7wznqE8BzMiFjMZzBO_dWLGYmT6aRi01ijGyKIttKGMlxNp1TUAYGJe4Q5V7-AeMRoRu00I2Ac9R6UIBLF9fI53qOv6qcX193eFGzvSvU9A==)
- Flow Phenomena - Radiology Key (https://vertexaisearch.cloud.google.com/grounding-api-redirect/AUZIYQE8Mwkxe7L51zsgClMjQ1-gY1pFZHrzjj-kYWi2gNoNtrbeM4UKnh1ypYbzopeCXYybL4DpzZJK4ZqI4K2ztrKjjL-9J5LJNl38ZYURGIqZZwai4dLpWAUot7ZnSVMt7FQdoj4=)