114年:放射診斷(2)
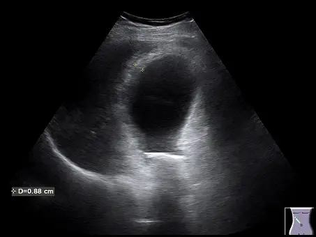
右上腹部超音波掃描時,發現一囊狀構造橫徑超過4公分,壁厚超過3公釐,內有高回音結構且具有後側音影(acoustic shadowing),以及陽性超音波墨菲氏徵象(positive sonographic Murphy's sign),下圖最有可能的診斷為何? 
A急性結石性膽囊炎(acute calculous cholecystitis)
B急性無結石性膽囊炎(acute acalculous cholecystitis)
C急性氣腫性膽囊炎(acute emphysematous cholecystitis)
D膽結石性腸阻塞(gallstone ileus)
詳細解析
本題觀念:
本題測驗「急性膽囊炎(acute cholecystitis)」的超音波(ultrasound)影像特徵及臨床診斷標準。在右上腹部掃描時,結合特定影像特徵(如結石、膽囊壁增厚、膽囊腫大)與超音波探頭壓迫引發的局部疼痛(超音波墨菲氏徵象,sonographic Murphy's sign),可高度提示膽囊的急性發炎反應。
影像分析:
觀察提供的右上腹超音波影像:
- 膽囊壁增厚(Gallbladder wall thickening):影像左下角標示了膽囊壁的厚度測量值為
D = 0.88 cm(即 8.8 mm),明顯超過正常膽囊壁厚度的上限(通常為 3 mm)。 - 結石與後側音影(Gallstone with posterior acoustic shadowing):在膽囊頸部(neck)區域可見一明顯的高回音(hyperechoic)結構,其後方伴隨典型的無回音黑色帶狀陰影,即後側音影(acoustic shadowing),這是膽結石的標準特徵。
- 膽囊腫大(Gallbladder distension):呈現充滿液體的囊狀擴張構造,對應題目所述橫徑超過 4 公分。
選項分析
- (A) 急性結石性膽囊炎(acute calculous cholecystitis):完全符合題目敘述與影像特徵。包含明確的膽結石(高回音伴隨後側音影)、膽囊壁增厚(>3 mm)、膽囊腫大(橫徑>4 cm)以及陽性超音波墨菲氏徵象(positive sonographic Murphy's sign),為本題最正確的診斷。
- (B) 急性無結石性膽囊炎(acute acalculous cholecystitis):通常發生於重症加護病房、長期禁食、嚴重創傷或大面積燒傷的患者。影像上雖然會有膽囊壁增厚及膽囊泥(sludge),但不會出現典型的結石特徵(高回音且具後側音影),故予以排除。
- (C) 急性氣腫性膽囊炎(acute emphysematous cholecystitis):多由產氣細菌感染引起,好發於糖尿病患者。其典型的超音波特徵為膽囊壁或管腔內出現氣體,表現為高回音亮點並伴隨「髒音影(dirty shadowing)」或「振鈴效應(ring-down artifact)」。本題影像中具有清晰乾淨的後側音影(clean shadow),且未見氣體特徵,故排除。
- (D) 膽結石性腸阻塞(gallstone ileus):為巨大膽結石經由膽囊腸道廔管(cholecystoenteric fistula)掉入腸道後,卡在迴盲瓣等狹窄處造成的機械性腸阻塞。典型的影像特徵為 Rigler triad:小腸阻塞(small bowel obstruction)、膽道積氣(pneumobilia)及異位性結石(ectopic gallstone)。本題影像顯示結石仍安穩地卡在膽囊內,並無腸阻塞跡象,故排除。
答案解析
根據《東京指引》(Tokyo Guidelines)及典型超音波診斷標準,診斷急性結石性膽囊炎的核心要素包括:確認膽結石的存在、膽囊壁發炎水腫(>3 mm)、膽囊腫大(橫徑>4 cm,長徑>8 cm),以及探頭壓迫時誘發的局部劇烈疼痛(positive sonographic Murphy's sign)。題幹的文字敘述與超音波測量圖(壁厚達 0.88 cm 以及結石產生的後側音影)完美契合這些診斷要件,因此最可能的診斷為急性結石性膽囊炎(acute calculous cholecystitis)。正確解答為 (A)。
核心知識點
急性膽囊炎的超音波典型表現(Sonographic features of acute cholecystitis):
- 膽結石(Gallstones):強回音且伴隨後側音影(posterior acoustic shadowing),發炎時結石最常嵌頓於膽囊頸部或膽囊管。
- 膽囊壁增厚(Gallbladder wall thickening):大於 3 mm,常呈現多層次或水腫狀態(striated appearance)。
- 膽囊腫大(Gallbladder distension):短軸(橫徑)大於 4 cm,長軸大於 8 cm。
- 超音波墨菲氏徵象(Sonographic Murphy's sign):用超音波探頭直接壓迫膽囊所在位置會引發患者劇烈疼痛,其對急性膽囊炎具有極高的陽性預測值。
- 膽囊周圍積液(Pericholecystic fluid):發炎嚴重時可見膽囊外側有局部無回音液體堆積。