114年:放射診斷(2)
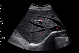
下圖為肋骨弓下緣之超音波掃描影像,其編號A、B、C的解剖位置,依序應為下列何者? 
A腹主動脈、門靜脈、左肝靜脈
B腹主動脈、肝動脈、右肝靜脈
C下腔靜脈、門靜脈、右肝靜脈
D下腔靜脈、門靜脈、左肝靜脈
詳細解析
本題觀念:
本題測驗醫事放射師對腹部超音波解剖構造的辨識能力,特別是肝臟血管系統的空間定位與組織聲學特徵。重點在於區分肝靜脈(Hepatic veins)與門靜脈(Portal veins)在超音波影像上的特徵差異,並熟悉肋骨弓下緣掃描(Subcostal view)時,螢幕左右側與病患人體左右側的空間對應關係。
影像分析:
這是一張肝臟的肋骨弓下緣橫切面超音波影像(Subcostal transverse/oblique view),探頭向頭側(Cephalad)傾斜以觀察肝靜脈匯流處。
- 標示A:位於肝臟後方的巨大無回音(Anechoic)管狀構造,且可見多條靜脈匯流進入其中,此為下腔靜脈(Inferior Vena Cava, IVC)。
- 標示B:位於肝臟實質內的管狀構造,其管壁呈現明顯的高回音(Hyperechoic,較亮的白邊)。這是因為門靜脈系統周圍有結締組織(Glisson's capsule)包覆延伸,此為**門靜脈(Portal Vein)**分支的典型超音波特徵。相對而言,肝靜脈的管壁極薄,通常不會有明顯的高回音邊緣。
- 標示C:為匯流至下腔靜脈的肝靜脈之一。在標準的腹部橫切面掃描設定下(探頭指標朝向病患右側),螢幕的左側代表病患的右側,螢幕的右側代表病患的左側。標示C位於影像的左下方(病患的右側),因此這是右肝靜脈(Right Hepatic Vein)。其上方相鄰的是中肝靜脈(Middle Hepatic Vein),而位於最右側(病患左側)的則是左肝靜脈(Left Hepatic Vein)。這三條靜脈匯入下腔靜脈的典型影像在臨床上常被稱為「花花公子兔星號(Playboy Bunny sign)」。
選項分析
- (A) 腹主動脈、門靜脈、左肝靜脈:標示A為下腔靜脈,並非腹主動脈(腹主動脈位於更內側,管壁較厚且不會有肝靜脈匯集)。標示C位於病患右側(螢幕左側),應為右肝靜脈,故此選項錯誤。
- (B) 腹主動脈、肝動脈、右肝靜脈:標示A為下腔靜脈。標示B因具有明顯高回音管壁且管徑較大,為門靜脈;正常肝動脈在灰階超音波下管徑極小,較難在未開啟彩色都卜勒(Color Doppler)的情況下如此清晰呈現單一管狀結構,故此選項錯誤。
- (C) 下腔靜脈、門靜脈、右肝靜脈:標示A為收集肝靜脈血液的下腔靜脈;標示B為具有高回音管壁的門靜脈;標示C為位於影像左側(病患右側)的右肝靜脈。完全符合影像特徵,故此選項正確。
- (D) 下腔靜脈、門靜脈、左肝靜脈:標示C為右肝靜脈而非左肝靜脈。左肝靜脈應位於影像的最右側,故此選項錯誤。
答案解析
根據影像解剖學特徵,血管A收集肝臟血流並位於較深層,為下腔靜脈 (IVC)。血管B管壁明亮,符合門靜脈 (Portal Vein) 的超音波特性。血管C位於螢幕左側,對應病患解剖構造的右方,匯流至下腔靜脈的此血管即為右肝靜脈 (Right Hepatic Vein)。因此,正確答案為 (C)。
核心知識點
- 肝內血管的超音波鑑別:
- 門靜脈(Portal Veins):走向多為橫向,管壁因富含纖維結締組織(Glisson's capsule)而呈現高回音(亮白壁)。
- 肝靜脈(Hepatic Veins):走向多為縱向或放射狀匯入下腔靜脈,管壁薄且無明顯高回音。
- 腹部超音波空間配置:在橫切面(Transverse view)時,螢幕左側對應病患右側(Right),螢幕右側對應病患左側(Left)。
- 肝靜脈解剖定位:由右至左(螢幕左至右)依序為右肝靜脈、中肝靜脈、左肝靜脈。中肝靜脈(Middle Hepatic Vein)與正中裂(Main lobar fissure)走向一致,可將肝臟劃分為右葉與左葉。
臨床重要性
在超音波臨床實務上,觀察肝靜脈與下腔靜脈的直徑及其血流頻譜變化,對於評估右心衰竭具有極高的診斷價值(右心壓力升高會導致下腔靜脈與肝靜脈擴張,且失去隨呼吸改變管徑的特性)。此外,若無法觀察到肝靜脈的正常血流或發現血栓,則需高度懷疑布加症候群(Budd-Chiari syndrome)。正確辨識這三條肝靜脈,亦是醫事放射師與醫師進行肝臟節段(Couinaud classification)定位的關鍵基礎。
參考資料
- Sonography Resources. Subcostal Window.
- Radiology Key. Ultrasound Assessment of the Hepatic Vasculature.
- Cleveland Clinic. Hepatic Vein: Location, Anatomy & Function.