114年:放射診斷(2)
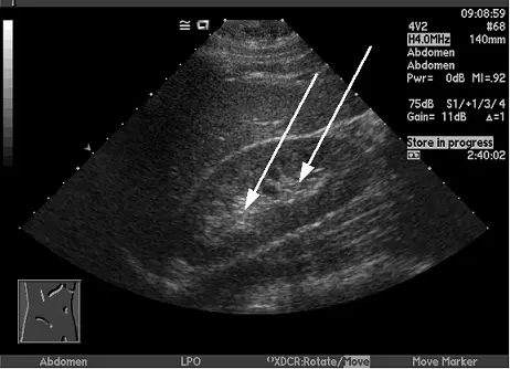
附圖中箭號所指高回音的部位最可能為何? 
A腎髓質(medulla)
B腎竇部(renal sinus)
C腎盂(pelvis)
D腎皮質(cortex)
詳細解析
本題觀念:
本題測驗醫事放射師對於腎臟超音波正常解剖構造及其對應回音特性(echogenicity)的判讀能力。超音波影像中,不同組織因為聲阻抗(acoustic impedance)的差異,會呈現出不同程度的回音強度。掌握腎臟各分層的相對回音強度,是進行腹部超音波掃描與病灶鑑別診斷的基礎。
影像分析:
影像為一幅典型的腹部超音波掃描,呈現腎臟的長軸切面(longitudinal view)。
- 周邊臟器:影像上方可見一均質且具中等回音的實質器官,依據解剖位置及掃描視角,此為肝臟(若為右腎)或脾臟(若為左腎)。
- 腎臟外圍(腎實質部):腎臟外層呈現較暗的低回音(hypoechoic)區域,為腎皮質(renal cortex)與腎髓質(renal medulla)所在的實質部位。
- 腎臟中央:影像中兩根白色箭號精確指向腎臟正中央、呈現明顯「高回音」(hyperechoic / bright echogenicity)的區域。此中心區域的高回音特性,主要來自於該處富含的脂肪組織、血管、淋巴管以及集尿系統等多重構造交界面所造成的強烈音波反射。
選項分析
- (A) 腎髓質(medulla):位於腎皮質內側,主要由腎錐體(renal pyramids)構成。在正常超音波下,腎髓質內部含水量較高,其回音是整個腎臟中最低的(呈現低回音或近乎無回音,hypoechoic / anechoic),並非圖中箭號所指的高回音區。
- (B) 腎竇部(renal sinus):位於腎臟最中央,內部包含腎盞、腎盂、血管、神經及大量的腎竇脂肪(renal sinus fat)。由於脂肪組織以及複雜的結構交界面會產生強烈的超音波反射,使其在影像上呈現極具特徵的「高回音(hyperechoic)」。影像中箭號直指該中心高回音區,故此為正確選項。
- (C) 腎盂(pelvis):屬於集尿系統的一部份,包覆於腎竇部之內。正常無水腫的狀態下,腎盂不易單獨與周邊腎竇脂肪區分;但若其充滿尿液或發生阻塞導致腎水腫(hydronephrosis)時,超音波下會呈現「無回音(anechoic)」的液體暗區,而非高回音構造。
- (D) 腎皮質(cortex):為腎臟外圍實質層。正常成人的腎皮質超音波回音強度通常略低於或相等於相鄰的肝臟/脾臟實質,且高於腎髓質,整體呈現中低回音。它對應的是影像中高回音區外圍較暗的環狀構造,而非箭號所指處。
答案解析
根據影像解剖學的特徵,兩根箭號所指之處為腎臟正中央最亮的區域。在腹部超音波中,腎臟由外而內的回音表現有明顯層次:最外層的腎皮質為中低回音,內層的腎髓質為更低的低回音,而最中心的腎竇部(renal sinus)因為富含脂肪與纖維組織,呈現強烈的高回音。綜合上述影像特徵與組織聲學特性,該部位最可能為腎竇部,故正確答案為 (B)。
核心知識點
醫事放射師在準備國考時,必須熟記正常腹部實質器官與組織的超音波回音強度(echogenicity)相對順序。標準的相對回音強度由高至低排列如下:
- 腎竇部 (Renal sinus):最高回音(Hyperechoic)
- 胰臟 (Pancreas):高至中回音(隨著年齡與脂肪浸潤增加,回音會變高)
- 肝臟 (Liver) / 脾臟 (Spleen):中回音(兩者通常相近)
- 腎皮質 (Renal cortex):中低回音(正常應低於或等於肝臟)
- 腎髓質 (Renal medulla):最低回音(Hypoechoic)
臨床重要性
辨識高回音的腎竇部在臨床掃描上非常實用。當患者有泌尿道阻塞時,原本緻密高回音的腎竇部會被擴張的無回音尿液撐開,形成腎水腫(hydronephrosis)的典型影像。此外,尋找腎結石時,結石會表現為腎竇部或集尿系統內更亮的高回音亮點,並伴隨後方音響陰影(posterior acoustic shadowing)。
參考資料
- Ultrasonography of the Kidney: A Pictorial Review - PMC (https://www.ncbi.nlm.nih.gov/pmc/articles/PMC4732152/)
- Renal Ultrasound | Sonoguide - ACEP (https://www.acep.org/sonoguide/basic/renal)