114年:放射診斷(2)
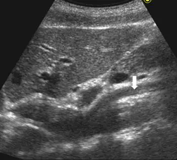
附圖為上腹部超音波影像,箭號所指的低回音構造為下列何者? 
A腹腔動脈幹(celiac trunk)
B上腸繫膜動脈(superior mesenteric artery)
C右肝靜脈(right hepatic vein)
D右腎動脈(right renal artery)
詳細解析
本題觀念:
本題測驗醫事放射師對於上腹部超音波(Abdominal Ultrasound)基礎血管解剖構造的辨識能力,特別是腹主動脈(Abdominal Aorta)在縱切面(Longitudinal / Sagittal view)下,其前壁主要分支的相對位置與典型影像特徵。
影像分析:
- 切面與相對位置:此為上腹部的縱切面(Longitudinal view)超音波影像。影像最上方(靠近探頭接觸的腹側)為肝臟左葉(Left lobe of liver)。
- 腹主動脈(Abdominal Aorta):在肝臟下方較深處,可見一條粗大的、呈現水平走向的無回音/低回音管狀構造,此即為腹主動脈。
- 主動脈的兩個前分支:
- 第一個分支(靠近頭端,畫面偏左):為腹腔動脈幹(Celiac trunk),其特徵為從腹主動脈前壁發出後,會較快產生分叉(分為肝總動脈與脾動脈),走向不與主動脈平行。
- 第二個分支(靠近尾端,畫面偏右):即為白色箭號所指的構造。它位於腹腔動脈幹下方約 1 公分處,其最顯著的影像特徵是起源後會向尾端延伸,並與腹主動脈呈現平行的走向。這個管狀構造就是上腸繫膜動脈(Superior mesenteric artery, SMA)。
選項分析
- (A) 腹腔動脈幹(celiac trunk):腹腔動脈幹是腹主動脈最先發出的前壁分支。在該縱切面影像中,它位於箭頭所指血管的上方(頭端處)。圖中箭號指向的是第二個分支,因此該選項錯誤。
- (B) 上腸繫膜動脈(superior mesenteric artery):SMA 是腹主動脈第二個前壁主要分支,其經典超音波特徵便是與主動脈平行走向,圖中白色箭頭明確指向此血管,完全符合 SMA 的解剖表現,為正確答案。
- (C) 右肝靜脈(right hepatic vein):肝靜脈會直接匯入下腔靜脈(Inferior vena cava, IVC)。在超音波影像中,肝靜脈位於肝臟實質內部,通常需透過橫切面或肋骨下斜切面來觀察其匯入 IVC 的形態,與本圖呈現的腹主動脈前壁分支截然不同。
- (D) 右腎動脈(right renal artery):腎動脈由腹主動脈的兩側發出。若在上腹部縱切面上觀察下腔靜脈(IVC),右腎動脈通常會表現為在 IVC 後方的一個圓形短軸無回音區,而不會呈現如圖中朝前腹側發出並平行向下延伸的長管狀構造。
答案解析
綜合上述影像特徵,圖中顯示的是標準的腹主動脈縱切面超音波影像。根據解剖位置,從腹主動脈前壁發出且與主動脈平行走向的第二條主要分支血管,毫無疑問是上腸繫膜動脈(Superior mesenteric artery),因此正確答案為 (B)。
核心知識點
- 腹主動脈縱切面標記:在進行上腹部超音波時,確認腹主動脈的兩個重要前分支——腹腔動脈幹(Celiac trunk)與上腸繫膜動脈(SMA),是快速定位與區分腹主動脈與下腔靜脈(IVC)的關鍵步驟。
- 橫切面(Transverse view)解剖關係:雖然本題為縱切面,但在橫切面上,SMA 被視為尋找胰臟(Pancreas)極重要的解剖標記(landmark)。脾靜脈(Splenic vein)會跨越 SMA 的前方,而左腎靜脈(Left renal vein)則會穿行於 SMA 與腹主動脈之間的夾角處。
臨床重要性
- 上腸繫膜動脈症候群(SMA syndrome):若 SMA 與腹主動脈之間的夾角(Aortomesenteric angle)過小(正常約為 45°-60°),可能會壓迫到穿行其間的十二指腸第三部分,導致腸胃道阻塞症狀。此時醫事放射師需利用超音波縱切面準確測量該夾角與主動脈間的距離。
- 腸繫膜缺血(Mesenteric ischemia):利用都卜勒超音波(Doppler ultrasound)評估 SMA 的血流阻力、收縮期與舒張期流速,是診斷急慢性腸繫膜缺血(缺血性腸道疾病)的重要非侵入性檢查工具。