114年:放射診斷(2)
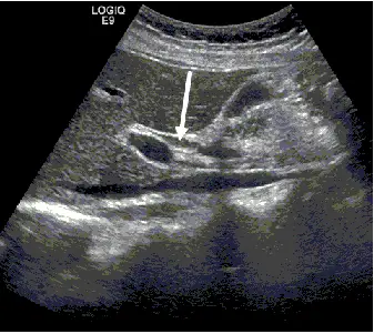
附圖為右上腹部超音波斜縱向掃描,箭號所指的構造最可能為下列何者? 
A膽囊(gallbladder)
B總膽管(common bile duct)
C下腔靜脈(inferior vena cava)
D門靜脈(portal vein)
詳細解析
本題觀念:
本題考查右上腹部超音波(RUQ ultrasound)中肝門(porta hepatis)區域的解剖構造識別,特別是肝門靜脈三合體(portal triad)與周邊大血管在斜縱向掃描(oblique sagittal scan)下的相對位置關係。
影像分析:
- 此影像為右上腹部超音波的斜縱向掃描,主要呈現肝門區域的長軸解剖構造。
- 圖中可見三個平行的無回音(anechoic,呈現黑色)管狀構造,由淺層到深層(由前到後)排列。
- 最深處(影像最下方/解剖位置後方)口徑最大的管狀構造為下腔靜脈(inferior vena cava, IVC)。
- 位於下腔靜脈前方,具有較明顯高回音(hyperechoic,呈現白色)管壁的粗大血管為門靜脈(portal vein, PV)。
- 白色箭號所指的構造,是緊貼在門靜脈前方(腹側,靠近探頭的一側)、口徑較小的細長管狀構造。根據解剖相對位置,緊鄰門靜脈前方的管狀構造即為總膽管(common bile duct, CBD)。
選項分析:
- (A) 膽囊(gallbladder):在超音波下通常呈現水滴狀或梨形的較大囊狀無回音構造,位於肝臟下方的膽囊窩內,並非如圖中緊貼門靜脈前方的細長平行管狀構造。
- (B) 總膽管(common bile duct):解剖位置上,總膽管位於門靜脈的右前方。在斜縱向掃描觀察門靜脈長軸時,總膽管會呈現於門靜脈的前方(影像的上方),完全符合箭號所指的位置。
- (C) 下腔靜脈(inferior vena cava):位於肝門構造的後方,是圖中最深層的巨大無回音管狀構造,並非箭號所指的最淺層構造。
- (D) 門靜脈(portal vein):位於下腔靜脈與總膽管之間,是圖中中間較粗且管壁回音較高的管狀構造。箭號是指向門靜脈前方的構造,而非門靜脈本身。
答案解析:
在進行右上腹斜縱向掃描以觀察門靜脈長軸時,可清楚看見各血管與膽管的相對深度。根據標準解剖關係,門靜脈(PV)位於下腔靜脈(IVC)的前方;而在門靜脈的前方,則有總膽管(CBD)與肝動脈(hepatic artery)。總膽管通常與門靜脈長軸平行走向,位於其腹側(即影像的上方淺層處)。箭號明確指向門靜脈前方的細長管狀構造,故最可能為總膽管,正確答案為 (B)。
核心知識點:
- 肝門三合體(Portal Triad):包含門靜脈(Portal vein)、總膽管(Common bile duct)、固有肝動脈(Proper hepatic artery)。
- 超音波橫切面(Transverse view):呈現著名的「米老鼠徵象(Mickey Mouse sign)」。米老鼠的臉是門靜脈,右耳(外側前方)是總膽管,左耳(內側前方)是肝動脈。
- 超音波斜縱切面(Oblique sagittal view):呈現平行的管狀構造。後方較粗的為門靜脈,前方較細的為總膽管。若病患有膽道阻塞導致總膽管擴張,使其管徑擴張至與門靜脈相當時,會形成著名的「散彈槍徵象(Shotgun sign)」或「平行管徵象(Parallel channel sign)」。
參考資料:
- Emergency Ultrasound. RUQ Pain - Biliary Dilatation. (URL: https://vertexaisearch.cloud.google.com/grounding-api-redirect/AUZIYQERbibHwROiy9-Qq_R_hrdsOl6YqcsY31kuy0qkgpVHWr5lVxRjuOUmu1RVLJMwwaQJkQ40He4YZbgzi8hj613rgnnyv-6huD8x25uh3Jiy8K59yX5FZbfuokefW97smkGRsvJ3COH2BGydkMuetn7QeM0vuiYTwTCF)
- Taming the SRU. Scanning School - RUQ. (URL: https://vertexaisearch.cloud.google.com/grounding-api-redirect/AUZIYQF0E60jI1Y1Rg-3TqtFCpo3C_7sp2c9WTIYPfRP_DLswOjFx8U7UslMNGw_wd7mU9Sn99vBedT6wu8G96qi2JWl7AbaSQ6PzdZ-umzw4ba-ClFzTHOINJwm9TILC2W2jbK4GniSSzm02zWrIQnPGg==)
- Behan M, Kazam E. Sonography of the common bile duct: value of the right anterior oblique view. AJR Am J Roentgenol. (URL: https://vertexaisearch.cloud.google.com/grounding-api-redirect/AUZIYQHDB3nhthz9eQ7dXFOt1OJ9POhiXXfEEMoJ1O8AIzeEhvqTtd3iz8MzrwhtGb59dg4z4uBOcW0vEB2hjV7rli7ODpBjIbdcqlQpzWHI8AxbSaNJE-jAKZOm48qFVv5TimLevQ_YKXYkhnqaEl56Ecg=)
- Radiology Key. Right Upper Quadrant: Liver, Gallbladder, and Biliary Tree. (URL: https://vertexaisearch.cloud.google.com/grounding-api-redirect/AUZIYQHYu5CJL1nxy0AwVZP1_OFBnu1i_iXdKX1QyYYmN_QsaOPuhNd3Az0OK50pRwvLbE-tXHOKRsJwmdlf11u2RQfKHphG6A9DxJHTXu8r4Ifo_asgg0X6qsgu22lYpJVZypnHRYc_Nnibt1bauS9RfZRiYQ3Lt7A_sfwRnJ7lVPBWoH-g68ccVLVJjk4j4Q==)
- Core Ultrasound. Where in The World is the CBD? Ultrasound Tips for Finding the Common Bile Duct. (URL: https://vertexaisearch.cloud.google.com/grounding-api-redirect/AUZIYQERIiIF53nJ5Pdi-fTIVu2JioevTBKX5hERo_ruR--xbjMBIzchQ4sQ5c88uRNAAGafGInp2a9VruRkr9IWWvRmZYHWcc9ZFLSjRuZpvzeqdZDbwv8cV60oAunt6cADfNFqmtWoh8cbQqJMPPcTjpHnRAxf)
- Cremin BJ. Real-time ultrasound in paediatric biliary ascariasis. S Afr Med J. (URL: https://vertexaisearch.cloud.google.com/grounding-api-redirect/AUZIYQFpCW_dBnC3EwQJAKXmmiqIu1yRgfBJPnf1V8IjHQglid8R8xzj-owWGfE1p_9gdmCr0ki6J9W3GUI7jAU91b0Bi9L7R9ngdMSFuAjF-dV5-tlruLWvy6FGWuAkrmS8nH5VhAgSGrT7H2WWo5URwConojDZhQ==)