113年:放射診斷(2)
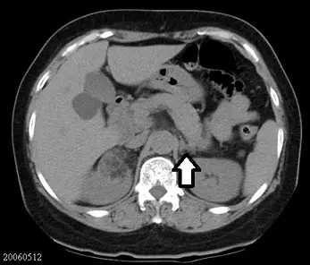
一張腹部CT影像如下圖,箭號所指構造為何? 
A左腎靜脈(left renal vein)
B脾動脈(splenic artery)
C左輸尿管(left ureter)
D左腎上腺(left adrenal gland)
詳細解析
本題觀念:
本題測驗腹部電腦斷層(CT)之正常解剖構造辨識,特別是後腹腔器官與血管的相對位置關係。
影像分析:
此為一張腹部橫切面 CT 影像。圖中右側可見肝臟,左側可見脾臟,中後方為脊椎體,腹主動脈與下腔靜脈位於脊椎前方。雙側腎臟的上半球(upper pole)亦在視野中。白色箭號所指為一個位於左腎上極前內側、左側橫膈腳外側的軟組織構造,其外觀呈現特徵性的倒 V 形或 Y 字形。
選項分析
- A. 左腎靜脈(left renal vein):正常解剖位置較低,通常位於腎門高度,且會橫越腹主動脈前方匯入下腔靜脈,與圖中位置不符。
- B. 脾動脈(splenic artery):位置較偏前上方,沿著胰臟上緣呈現彎曲走向分布至脾臟,非此圖箭頭所指之固定形狀軟組織。
- C. 左輸尿管(left ureter):位於腎盂下方,在較低切面呈現細小點狀或管狀構造向下延伸,不會在腎臟上極的此切面呈現 Y 字形。
- D. 左腎上腺(left adrenal gland):解剖位置正好位於左腎上極的前內側、胰臟尾部後方以及左側橫膈腳外側,且在 CT 上呈現典型的倒 V、Y 或線形外觀,與影像中箭號所指完全吻合。
答案解析
根據影像顯示,箭號標示的構造在解剖學上明確位於左側腎臟上極的前內側。透過其特有的解剖相對位置以及呈現出
...(解析預覽)...

升級 VIP 解鎖圖文解析