113年:放射診斷(2)
附圖中,最可能為肝臟電腦斷層動態攝影影像之那一相(phase)? 
A施打造影劑前影像(pre-contrast image)
B動脈相(arterial phase)
C靜脈相(venous phase)
D延遲相(delayed phase)
詳細解析
本題觀念:
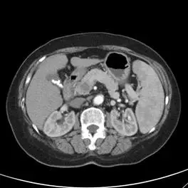
肝臟多相式電腦斷層掃描(Multiphasic CT of the liver)是評估肝臟病灶(如肝細胞癌 Hepatocellular carcinoma, HCC、血管瘤 Hemangioma 等)的標準影像檢查。透過在靜脈注射對比劑(Contrast media)後的不同時間點進行掃描,可觀察血流動力學的變化,進而區分不同組織與病灶的特性。常見的相(phase)包含:無對比劑相(Pre-contrast phase)、動脈相(Arterial phase)、門靜脈相(Portal venous phase)以及延遲相(Delayed phase)。
影像分析:
觀察本題提供的腹部 CT 橫斷面影像,可發現以下關鍵特徵:
- 主動脈(Aorta):呈現極高訊號(極度明亮),顯示對比劑正處於動脈高峰期。
- 下腔靜脈(Inferior vena cava, IVC):呈現低訊號(偏暗),顯示對比劑尚未大量回流至全身靜脈系統。
- 脾臟(Spleen):呈現斑駁狀、不均勻的強化(Mottled enhancement 或稱為 Tiger stripe appearance),這是脾臟在動脈相極為典型的特徵。
- 腎臟(Kidneys):可見明顯的皮質-髓質差異(Corticomedullary different
...(解析預覽)...

升級 VIP 解鎖圖文解析