113年:放射診斷(2)
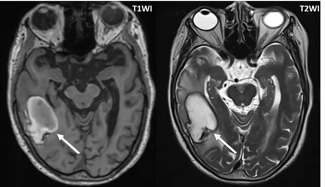
T1WI 及T2WI箭號所示之病灶如下圖,最有可能的診斷為何? 
Asubacute hematoma
Bhyperactive hematoma
Clipoma
Dabscess
詳細解析
本題觀念:
本題測驗的核心在於評估考生對腦出血(intracranial hemorrhage)在不同時期之磁振造影(MRI)訊號變化的掌握程度。血腫(hematoma)的 MRI 訊號會隨著血紅素(hemoglobin)的氧化降解狀態以及紅血球細胞膜的完整性而產生規律性的改變,這是神經影像學中非常經典且必考的重點。
影像分析:
- T1WI(左圖):影像中右側顳頂葉(temporal-parietal region)可見一巨大病灶。該病灶的周邊呈現厚實的明顯高訊號(hyperintense),其亮度與頭皮下方的皮下脂肪相近;病灶中心則呈現等訊號(isointense)至稍低訊號。此厚實的周邊高訊號為典型的正鐵血紅素(methemoglobin)表現。
- T2WI(右圖):同一病灶在 T2WI 上,中心呈現高訊號(hyperintense),而病灶最外圍具有一圈極為明顯的低訊號黑環(hypointense rim)。此外,在低訊號環的外側,可見不規則的 T2 高訊號帶,代表伴隨的血管性水腫(vasogenic edema)。T2WI 的低訊號周邊黑環代表巨噬細胞吞噬紅血球後所形成的血鐵質(hemosiderin)沉積。
- 綜合分析:血腫的降解演進通常由周邊向中心發展。此影像顯示周邊已形成正鐵血紅素(T1高訊號)與血鐵質(T2黑圈),而中
...(解析預覽)...

升級 VIP 解鎖圖文解析