113年:放射診斷(2)
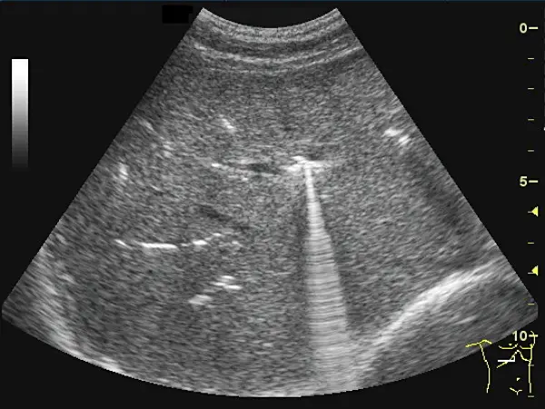
肝臟超音波掃描時,發現多處呈現散在性的明亮高回音性線狀物,部分區域出現音波迴盪(reverberation)現象如下圖所示,最有可能的診斷為何? 
A膽道氣腫(pneumobilia)
B脂肪肝
C局部脂肪浸潤
D膽道結石
詳細解析
本題觀念:
本題的核心觀念在於理解超音波與人體內不同組織或物質交界面上的聲學阻抗差異(Acoustic impedance mismatch)。當超音波遇到「氣體(Gas/Air)」時,由於氣體與周邊軟組織的聲阻抗差異極大,幾乎會將音波完全反射,除了形成明亮的高回音外,還會在氣泡內部或氣體表面產生反覆反射,進而於影像後方形成特徵性的假影。
影像分析:
- 肝臟超音波背景:影像顯示肝臟實質構造。
- 高回音病灶:在肝臟實質內(偏中央與沿著膽管分布處),可觀察到多處散在性、極度明亮(強烈高回音,hyperechoic)的線狀或點狀結構。
- 特徵性假影:從這些高回音結構的後方,可以明顯看到一道道垂直向下延伸、如掃把或梳子般的連續亮帶。這在超音波學上稱為音波迴盪假影(Reverberation artifact)或更精確地稱為振鈴假影(Ring-down artifact)。 綜合以上特徵,這是「肝內氣體」在超音波下最經典的影像表現。
選項分析
- (A) 膽道氣腫(pneumobilia):正確。膽道內積氣時,氣體會產生極強的反射,呈現高回音的線狀物(勾勒出膽管的形狀)。同時,超音波在氣泡間反覆震盪,會產生明顯的「音波迴盪(reverberation)現象」或「振鈴假影(ring-down art
...(解析預覽)...

升級 VIP 解鎖圖文解析