113年:放射診斷(2)
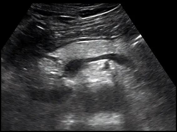
超音波掃描時,胰臟組織呈現均勻的高回音如下圖所示,最有可能的診斷為何? 
A胰臟脂肪增多症(pancreatic lipomatosis)
B彌漫性胰臟炎(diffuse pancreatitis)
C胰島素瘤(insulinoma)
D胰臟癌(pancreatic cancer)
詳細解析
本題觀念:
本題主要考驗醫事放射師對超音波影像中胰臟組織特徵的辨識能力,特別是針對胰臟異常回音(echogenicity)的鑑別診斷。不同病理狀態下的胰臟,在超音波上會呈現特定的回音變化。
影像分析:
提供的超音波影像為上腹部橫切面(transverse plane)。
- 影像中央可見一條無回音(anechoic)的管狀構造,為脾靜脈(splenic vein)。
- 在脾靜脈前方的實質構造即為胰臟(pancreas),包含胰體(body)與部分胰尾(tail)。
- 觀察胰臟的實質組織(parenchyma),其呈現均勻且明顯的高回音(uniformly hyperechoic,即影像上看起來非常白亮)。正常情況下,年輕人的胰臟回音應與肝臟等回音(isoechoic)或稍微偏高(slightly hyperechoic)。當整個胰臟呈現如此顯著的高回音時,最常見的原因是脂肪浸潤。
- 影像中未見局部低回音腫塊(focal hypoechoic mass)、無主胰管擴張(no pancreatic duct dilation),也無胰臟周圍積液(peripancreatic fluid),顯示這是一種瀰漫性的本質改變,而非急性發炎或惡性腫瘤。
選項分析
- (A) 胰臟脂肪增多症(pancreatic lipomatosis):正確。當
...(解析預覽)...

升級 VIP 解鎖圖文解析