114年:放射診斷(1)
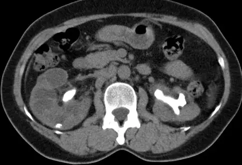
關於下圖之電腦斷層檢查,下列敘述何者最適當? 
A此圖為施打顯影劑後之電腦斷層影像,顯影劑已進入腎臟集尿系統
B此圖為施打顯影劑後之電腦斷層影像,顯影劑已進入腎臟實質
C此圖為未施打顯影劑之電腦斷層影像
D此圖為施打顯影劑後之電腦斷層影像,顯影劑已進入腎動脈
詳細解析
這是一道關於電腦斷層(CT)影像判讀的經典臨床考題,主要測驗醫事放射師對於「不同對比劑相位(CT phases)」的辨識能力,以及對常見泌尿道病灶(結石)影像特徵的掌握。
影像分析
觀察提供的腹部軸切面(Axial view)電腦斷層影像,可發現以下幾個關鍵特徵:
- 血管與器官無顯影特徵:位於脊椎前方的腹主動脈(Abdominal aorta)與下腔靜脈(IVC)呈現暗灰色的軟組織密度,與兩側的腰大肌(Psoas muscle)密度相仿。同時,兩側腎臟實質(Renal parenchyma)也沒有因顯影劑灌流而出現亮度提升或皮質髓質分界(Corticomedullary differentiation)。
- 極高密度的病灶:在雙側腎臟的中央集尿系統(腎盂與腎萼)位置,可見到極高密度(呈現亮白色,CT 值接近周邊脊椎骨)的結構。
- 病灶形態:這些高密度物質順著腎盂與腎萼的解剖空間生長,呈現向外分支的鑄型外觀,這是非常典型的**雙側鹿角狀結石(Bilateral staghorn calculi)**特徵。
選項分析
- (A) 此圖為施打顯影劑後之電腦斷層影像,顯影劑已進入腎臟集尿系統:錯誤。若為打藥後的「排泄相 / 延遲相(Excretory / Delayed phase)」,顯影劑確實會聚集於集尿系統使其呈現亮白色
...(解析預覽)...

升級 VIP 解鎖圖文解析