114年:放射診斷(1)
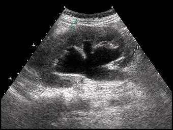
腎臟超音波掃描時,發現腎盂(renal pelvis)及多個腎盞(calyces)擴張如下圖,最有可能的診斷為何? 
A輸尿管阻塞
B腎盂旁囊腫(parapelvic renal cyst)
C多囊腎(polycystic kidney)
D多囊性發育不良腎(multicystic dysplastic kidney)
詳細解析
本題觀念:
本題主要測驗醫事放射師對於腎臟超音波影像中「腎水腫(Hydronephrosis)」與其他腎臟囊腫性疾病(Cystic renal diseases)的鑑別診斷能力。核心觀念在於判斷腎竇(renal sinus)內的無回音區(anechoic areas)是否具有「相通性(communicating)」,以及其解剖位置的分佈特徵。
影像分析:
- 影像特徵:此為一張腎臟超音波(Renal ultrasound)的長軸切面影像。影像中可見腎臟中央的腎竇區域出現大範圍的「無回音區(anechoic area,即影像中的黑色區域)」,代表有液體聚積。
- 解剖對應:這些無回音區並非獨立存在,而是呈現互相連通的分支狀(branching pattern)。中央較大的無回音區為擴張的腎盂(dilated renal pelvis),向外延伸的囊狀構造為擴張的腎盞(dilated calyces)。
- 典型徵象:這種擴張的腎盂與多個腎盞相通的影像,在超音波下常被形容為「熊爪徵(Bear claw sign)」或花椰菜狀,為典型的中度至重度「腎水腫(Hydronephrosis)」表現。周邊仍可見到被擠壓的腎臟實質(renal parenchyma)。
選項分析
- **A. 輸尿管阻塞(Ureteral obstructi
...(解析預覽)...

升級 VIP 解鎖圖文解析